ISO 9001:2015 Certified
Live Customer Support
4.5/5 on Trustpilot
100% Quality Guarantee

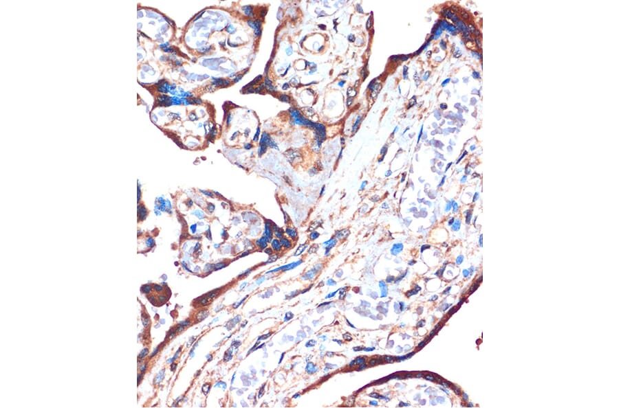
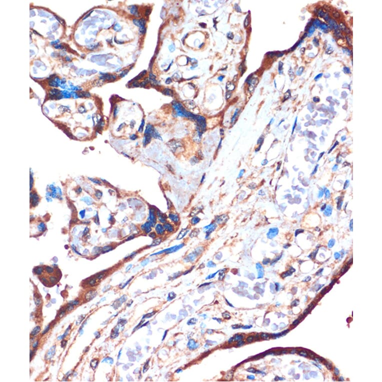
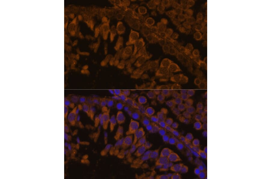
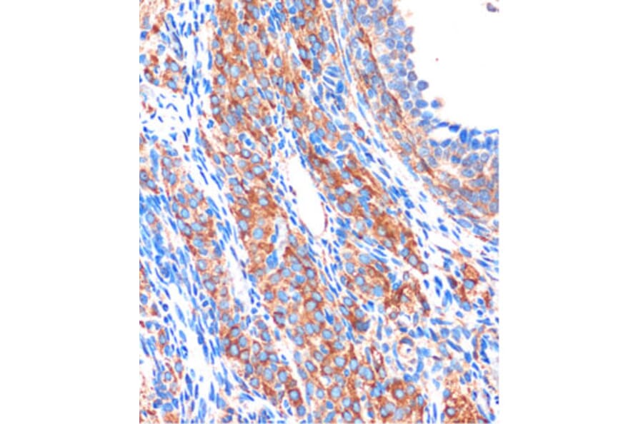
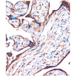
Anti-ZPBP Antibody (A306207)

Rabbit polyclonal antibody to ZPBP for WB, IHC and ICC/IF.

Shipping Information

$40
Dispatched from St. Louis, MO.
Lead Time: 7-10 business days.
Name
Anti-ZPBP Antibody
Description
Rabbit polyclonal antibody to ZPBP.
Applications
WB, IHC, ICC/IF
Dilutions
WB: 1:500-1:2,000, IHC: 1:50-1:200, ICC/IF: 1:50-1:200
Reactivity
Human, Mouse, Rat
Immunogen
Recombinant fusion protein containing a sequence corresponding to amino acids 45-200 of human ZPBP (NP_008940.2).
Sequence
HLVRLPRAFRLTKDSVKIVGSTSFPVKAYVMLHQKSPHVLCVTQQLRNAELIDPSFQWYGPKGKVVSVENRTAQITSTGSLVFQNFEESMSGIYTCFLEYKPTVEEIVKRLQLKYAIYAYREPHYYYQFTARYHAAPCNSIYNISFEKKLLQILSK
Host
Rabbit
Clonality
Polyclonal
Isotype
IgG
Conjugate

Unconjugated

Purification
Affinity purification.
Concentration
Lot Specific
Molecular Weight
34 kDa
Product Form
Liquid
Formulation
Supplied in Phosphate Buffered Saline, pH 7.3, with 50% Glycerol and 0.01% Thiomersal.
Storage
Shipped at 4°C. Upon delivery aliquot and store at -20°C. Avoid freeze/thaw cycles.
Synonyms
Inner acrosomal membrane IAM38, Sp38, Zona pellucida-binding protein 1
Disclaimer
This product is for research use only. It is not intended for diagnostic or therapeutic use.
Publishing research using Anti-ZPBP Antibody (A306207)? Please let us know so that we can list the citation on this page.

Alternative products to Anti-ZPBP Antibody (A306207)

Proteins predicted to interact with ZPBP1

Predicted protein interactions based upon String database. Revelancy score correlates with probability of interaction.
83.5% Relevancy Score
79.2% Relevancy Score
68.9% Relevancy Score
68.1% Relevancy Score
66.9% Relevancy Score
64.9% Relevancy Score
64.2% Relevancy Score
61.5% Relevancy Score
57.9% Relevancy Score