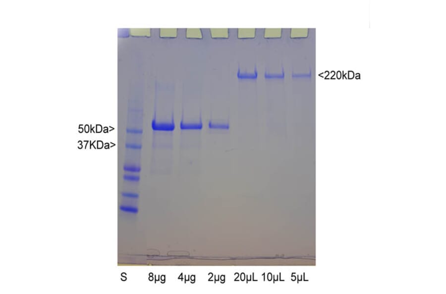
Coomassie brilliant blue stained SDS-PAGE gel of Native Bovine NF-H Polypeptide (A270563). The lanes contain: [Lane 1] protein standard, [Lane 2] 8 µg of BSA, [Lane 3] 4 µg of BSA, [Lane 4] 2 µg of BSA, [Lane 5] 20 µl of Native Bovine NF-H Polypeptide (A270563), [Lane 6] 10 µl of Native Bovine NF-H Polypeptide (A270563), and [Lane 7] 5 µl of Native Bovine NF-H Polypeptide (A270563). The band on the SDS-PAGE with an apparent molecular weight of 220kDa corresponds to the Native Bovine NF-H Polypeptide.
Coomassie Brilliant Blue stained SDS-PAGE gel of Native Bovine NF-H Polypeptide (A270563). The lanes contain: [Lane 1] protein standard, [Lane 3] BSA at 10µg, [Lane 4] BSA at 5µg, [Lane 5] BSA at 2.5µg, [Lane 6] undiluted aliquots of NF-H Polypeptide preparation, [Lane 7] 1:1 diluted aliquots of NF-H Polypeptide preparation, and [Lane 8] 1:4 diluted aliquots of NF-H Polypeptide preparation. The NF-H Polypeptide was isolated from bovine spinal cord using a modified version of the Triton X100/sucrose extraction method of Leung and Liem as far as the 6M urea solubilization and batch ion exchange chromatography on hydroxyapatite step. The material was then fractionated using a phosphate gradient of 10mM to 300mM on DEAE-cellulose in 6M urea, pH 7.5. The NF-H Polypeptide elutes cleanly at about 50mM phosphate and the bovine NF-H Polypeptide runs on SDS-PAGE with an apparent molecular weight of 220kDa.
Publishing research using Native Bovine NF-H Polypeptide (A270563)? Please let us know so that we can list the citation on this page.
Alternative products to Native Bovine NF-H Polypeptide (A270563)