Recombinant Human LRRC15 Protein (C-terminal His and Avi Tag)
Expression System
HEK293 cells
Nature
Recombinant
Protein Species
Human
Tag
C-terminal His and Avi Tag
Conjugate
Unconjugated
Purity
>95% (by Tris-Bis PAGE and HPLC).
Product Form
Lyophilized
Concentration
Reconstitution dependent.
Endotoxin Level
<1 EU/µg of the protein by LAL method.
Storage
Shipped at 4°C. Lyophilized: Store at -20°C to -80°C up to 1 year from the date of receipt. Reconstituted: Aliquot and store at -20°C for 3 months or 2-8°C for up to 1 week. Avoid freeze/thaw cycles.
Synonyms
hLib, Leucine-rich repeat protein induced by beta-amyloid homolog, Leucine-rich repeat-containing protein 15, LIB
Disclaimer
This product is for research use only. It is not intended for diagnostic or therapeutic use.
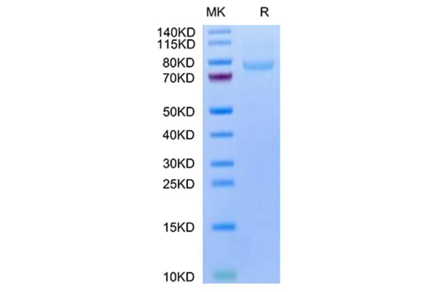
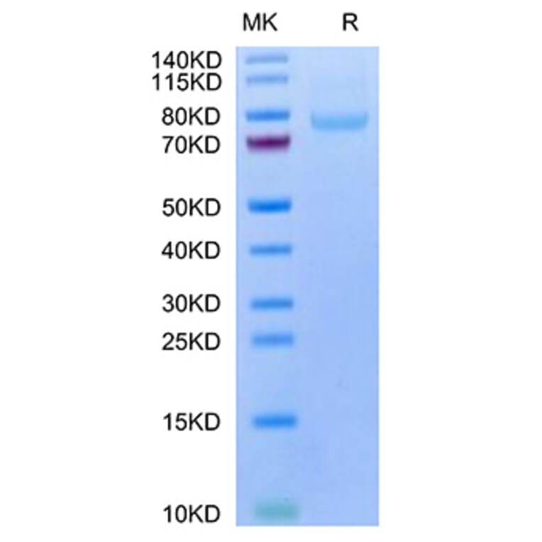
Recombinant Human LRRC15 Protein (C-terminal His and Avi Tag) (A331024)
Tris-Bis PAGE of Recombinant Human LRRC15 Protein (C-terminal His and Avi Tag) (A331024) under reducing conditions confirms that purity is greater than 95%.
Standard Curve - Recombinant Human LRRC15 Protein (C-terminal His and Avi Tag) (A331024)
ELISA examination of immobilized Human LRRC15, His Tag, (2µg/mL) binding Recombinant Human LRRC15 Protein (C-terminal His and Avi Tag) (A331024): EC50 =20.4ng/ml.
Publishing research using Recombinant Human LRRC15 Protein (C-terminal His and Avi Tag) (A331024)? Please let us know so that we can list the citation on this page.
Proteins predicted to interact with LRRC15
Predicted protein interactions based upon String database. Revelancy score correlates with probability of interaction.