ISO 9001:2015 Certified
Live Customer Support
4.5/5 on Trustpilot
100% Quality Guarantee

Recombinant SARS-CoV-2 Spike Glycoprotein (A270591)

Shipping Information

$40
Dispatched from St. Louis, MO.
Lead Time: 5-8 business days.
Name
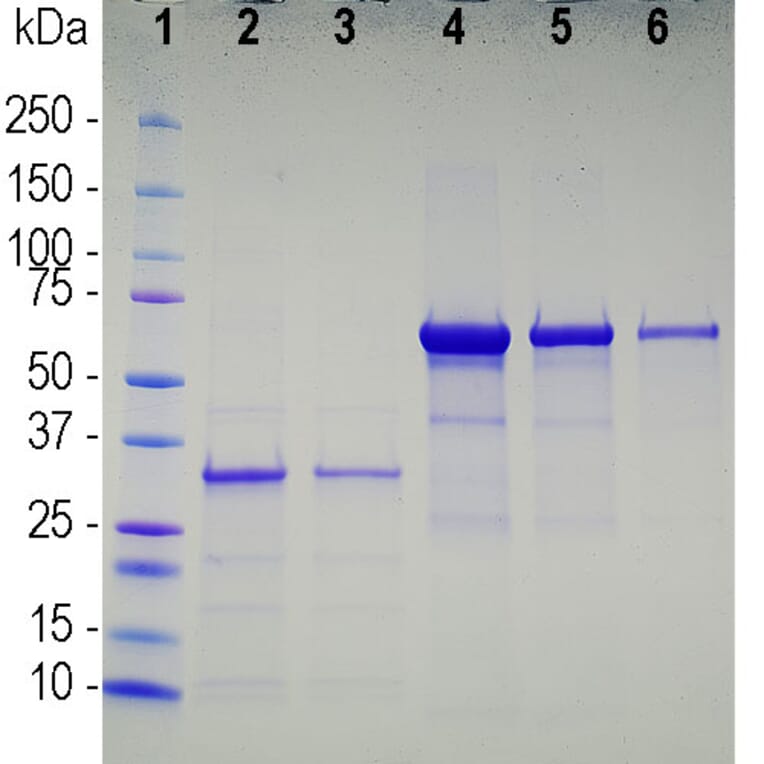
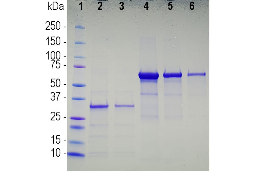
Recombinant SARS-CoV-2 Spike Glycoprotein
Applications
SDS-PAGE, ELISA, Immunogen Grade
Expression System
Escherichia coli
Nature
Recombinant
Protein Species
SARS-CoV-2
Protein Length
Protein fragment.
Sequence
MHHHHHHSSGLVPRGSGMKETAAAKFERQHMDSPDLGTDDDDKAMADIGSEFVEKGIYQTSNFRVQPTESIVRFPNITNLCPFGEVFNATRFASVYAWNRKRISNCVADYSVLYNSASFSTFKCYGVSPTKLNDLCFTNVYADSFVIRGDEVRQIAPGQTGKIADYNYKLPDDFTGCVIAWNSNNLDSKVGGNYNYLYRLFRKSNLKPFERDISTEIYQAGSTPCNGVEGFNCYFPLQSYGFQPTNGVGYQPYRVVVLSFELLHAPATVCGPKKSTNLVKNKCVNF
Amino Acids
308-541 aa.
Tag
His Tag (N-terminus)
Molecular Weight
32 kDa (by SDS-PAGE)
Predicted MW
32 kDa
Product Form
Liquid
Concentration
1 mg/ml
Formulation
Supplied in 10 mM Phosphate Buffer, pH 7.5, with 6 M Urea.
Storage
Shipped at 4°C. Upon delivery aliquot and store at -20°C. Avoid freeze/thaw cycles.
Disclaimer
This product is for research use only. It is not intended for diagnostic or therapeutic use.
Publishing research using Recombinant SARS-CoV-2 Spike Glycoprotein (A270591)? Please let us know so that we can list the citation on this page.