Synthetic nanodiscs offer a stable and biologically relevant environment that closely mimics cell membranes and enables full-length transmembrane human GPCR RDC1/CXCR-7 protein to be purified and analysed in vitro.
Expression System
HEK293 cells
Nature
Synthetic
Protein Species
Human
Protein Length
Full length protein.
Tag
C-terminal Flag Tag
Molecular Weight
Full length human GPCR RDC1/CXCR-7 protein has a MW of 41.3 kDa.
Conjugate
Unconjugated
Product Form
Lyophilized
Concentration
Reconstitution dependent.
Formulation
Lyophilized from nanodisc solubilization buffer (20mM Tris-HCl, 150mM NaCl, pH 8.0). Normally 5%–8% Trehalose is added as a protectant before lyophilization.
Storage
Shipped at 4°C. Lyophilized: Store at -20°C to -80°C. Reconstituted: Aliquot and store at -80°C. Product is stable for one year. Avoid freeze/thaw cycles.
Disclaimer
This product is for research use only. It is not intended for diagnostic or therapeutic use.
Synthetic Nanodisc Human GPCR RDC1/CXCR-7 Protein (A317332)
ELISA plates were pre-coated with Anti-GPCR RDC1/CXCR-7 Antibody [DMC443] - BSA and Azide free (A318735) at 0.2µg/well. Serial diluted Synthetic Nanodisc Human GPCR RDC1/CXCR-7 Protein (A317332) solutions were added, washed, and incubated with secondary antibody before ELISA reading. From the above data, the EC50 for Synthetic Nanodisc Human GPCR RDC1/CXCR-7 Protein (A317332) binding with Synthetic Nanodisc Human GPCR RDC1/CXCR-7 Protein (A317332) is 14.28ng/ml.
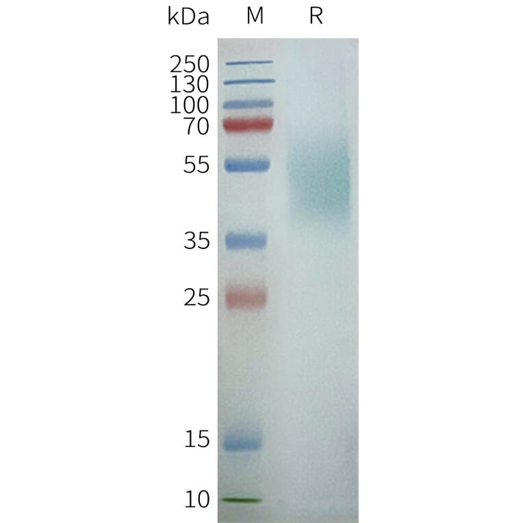
SDS-PAGE - Synthetic Nanodisc Human GPCR RDC1/CXCR-7 Protein (A317332)
SDS-PAGE of Synthetic Nanodisc Human GPCR RDC1/CXCR-7 Protein (A317332) under reducing conditions.
Publishing research using Synthetic Nanodisc Human GPCR RDC1/CXCR-7 Protein (A317332)? Please let us know so that we can list the citation on this page.