Western Blot - Anti-Human IgM Antibody [ARC2245] (A306108)
Western blot analysis of extracts of Human plasma, using Anti-Human IgM Antibody [ARC2245] (A306108) at 1:1,000 dilution. The secondary antibody was Goat Anti-Rabbit IgG H&L Antibody (HRP) at 1:10,000 dilution. Lysates/proteins were present at 25µg per lane. The blocking buffer used was 3% non-fat dry milk in TBST. Detection was with a ECL Basic Kit. Exposure time: 10s.
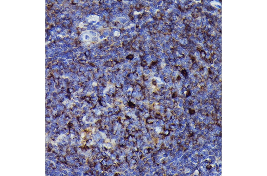
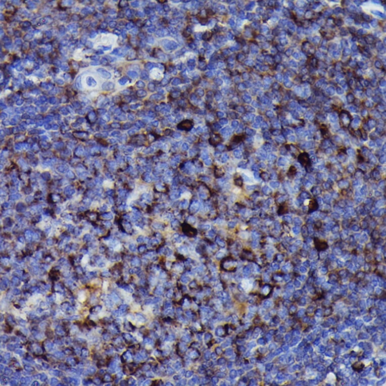
Immunohistochemistry analysis of paraffin-embedded human anaplastic large cell lymphoma tissue using Anti-Human IgM Antibody [ARC2245] (A306108) at a dilution of 1:100 (40x lens). Perform high pressure antigen retrieval with 10 mM citrate buffer pH 6.0 before commencing with IHC staining protocol.
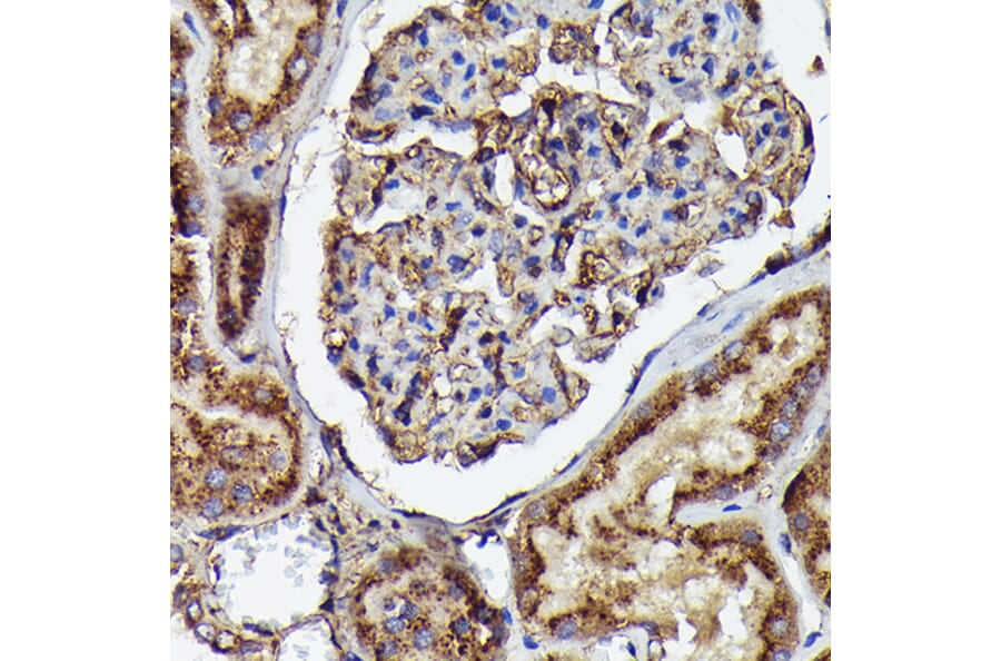
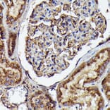
Immunohistochemistry analysis of paraffin-embedded human kidney using Anti-Human IgM Antibody [ARC2245] (A306108) at a dilution of 1:100 (40x lens). Perform high pressure antigen retrieval with 10 mM citrate buffer pH 6.0 before commencing with IHC staining protocol.
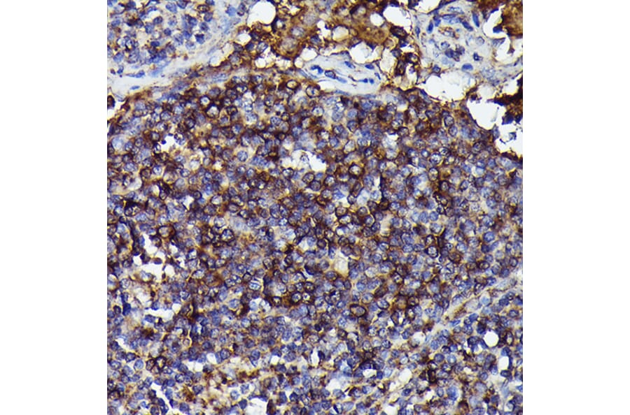
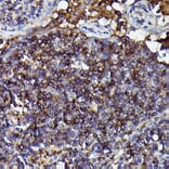
Immunohistochemistry analysis of paraffin-embedded human tonsil using Anti-Human IgM Antibody [ARC2245] (A306108) at a dilution of 1:100 (40x lens). Perform high pressure antigen retrieval with 10 mM citrate buffer pH 6.0 before commencing with IHC staining protocol.
Publishing research using Anti-Human IgM Antibody [ARC2245] (A306108)? Please let us know so that we can list the citation on this page.