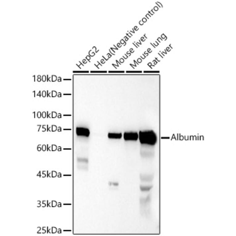
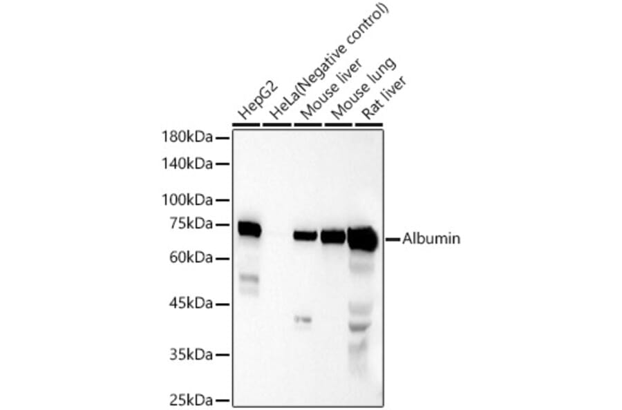
Western Blot - Donkey Anti-Goat IgG H&L Antibody (HRP) (A17357)
Western blot analysis of various lysates, using Donkey Anti-Goat IgG H&L Antibody (HRP) (A17357) at 1:400 dilution. The secondary antibody was Goat Anti-Rabbit IgG H&L Antibody (HRP) at 1:10,000 dilution. Lysates/proteins were present at 25µg per lane. The blocking buffer used was 3% non-fat dry milk in TBST. Detection was with a ECL Basic Kit. Exposure time: 30s.
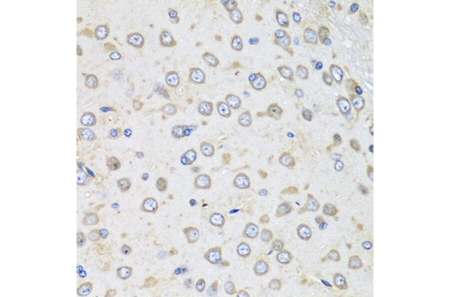
Immunohistochemistry analysis of paraffin-embedded rat brain using Donkey Anti-Goat IgG H&L Antibody (HRP) (A17357) at a dilution of 1:100 (40x lens). Perform microwave antigen retrieval with 10 mM PBS buffer pH 7.2 before commencing with IHC staining protocol.
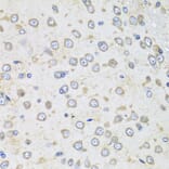
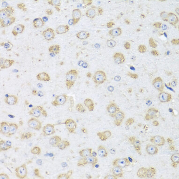
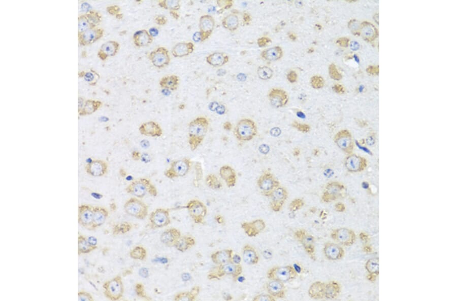
Immunohistochemistry analysis of paraffin-embedded mouse brain using Donkey Anti-Goat IgG H&L Antibody (HRP) (A17357) at a dilution of 1:100 (40x lens). Perform microwave antigen retrieval with 10 mM PBS buffer pH 7.2 before commencing with IHC staining protocol.
Immunofluorescence analysis of HepG2 cells using Donkey Anti-Goat IgG H&L Antibody (HRP) (A17357) at a dilution of 1:50 (40x lens). DAPI was used to stain the cell nuclei (blue).
Publishing research using Donkey Anti-Goat IgG H&L Antibody (HRP) (A17357)? Please let us know so that we can list the citation on this page.