Western Blot - Goat Anti-Mouse IgG1 Antibody (HRP) (A93381)
Western blot analysis of extracts of HeLa cells, using Goat Anti-Mouse IgG1 Antibody (HRP) (A93381) at 1:2000-1:30000 dilutionLysates/proteins were present at 25µg per lane. The blocking buffer used was 3% non-fat dry milk in TBST. Detection was with a ECL Basic Kit. Exposure time: 30s.
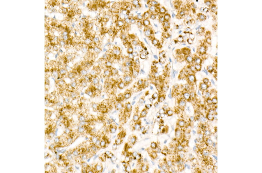
Immunohistochemistry analysis of paraffin-embedded human liver (primary antibody is acox1) using Goat Anti-Mouse IgG1 Antibody (HRP) (A93381) at a dilution of 1:1,000 (40x lens). Perform high pressure antigen retrieval with 10 mM citrate buffer pH 6.0 before commencing with IHC staining protocol.
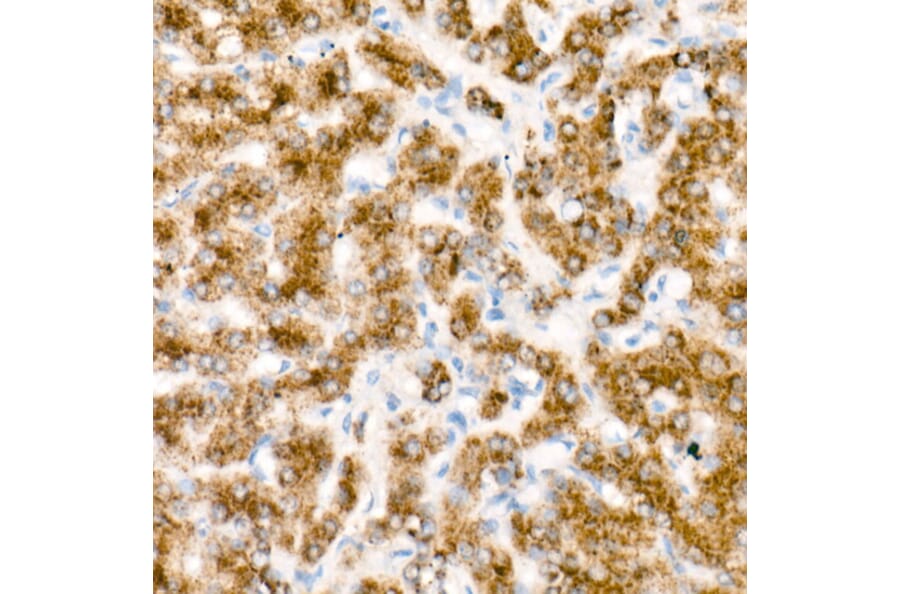
Immunohistochemistry analysis of paraffin-embedded human liver (the primary antibody is acox1, and the control secondary antibody is stained) using Goat Anti-Mouse IgG1 Antibody (HRP) (A93381) at a dilution of 1:1,000 (40x lens). Perform high pressure antigen retrieval with 10 mM citrate buffer pH 6.0 before commencing with IHC staining protocol.
Publishing research using Goat Anti-Mouse IgG1 Antibody (HRP) (A93381)? Please let us know so that we can list the citation on this page.