ISO 9001:2015 Certified
Live Customer Support
4.5/5 on Trustpilot
100% Quality Guarantee

AGBL5 Antibodies

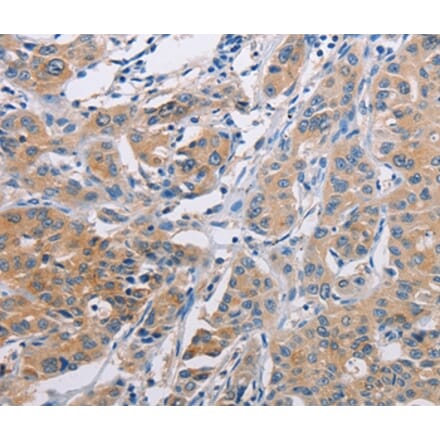
Explore our catalog of highly validated AGBL5 antibodies suitable for Immunohistochemistry that react with human samples.

Synonyms: ATP/GTP-binding protein-like 5, CCP5, Cytosolic carboxypeptidase-like protein 5 and Protein deglutamylase CCP5

1 Product
Immunohistochemistry - AGBL5 Antibody from Signalway Antibody (36059) - Antibodies.com
(2)

 

Search Filters Contact Us 0Checkout