ISO 9001:2015 Certified
Live Customer Support
4.5/5 on Trustpilot
100% Quality Guarantee

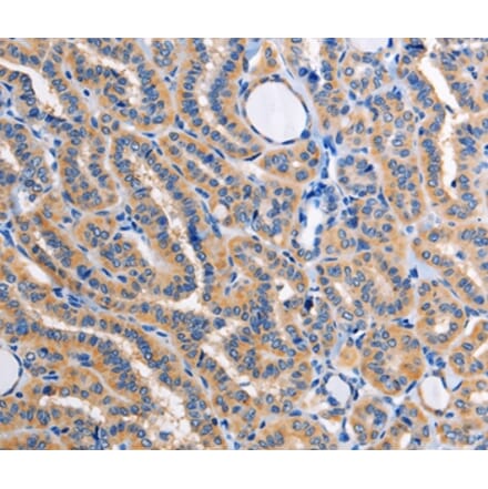
ALG8 Antibodies

Explore our catalog of highly validated ALG8 antibodies suitable for Immunohistochemistry that react with human samples.

1 Product
Immunohistochemistry - ALG8 Antibody from Signalway Antibody (36080) - Antibodies.com
(2)

 

Search Filters Contact Us 0Checkout