ISO 9001:2015 Certified
Live Customer Support
4.5/5 on Trustpilot
100% Quality Guarantee

ANKMY1 Antibodies

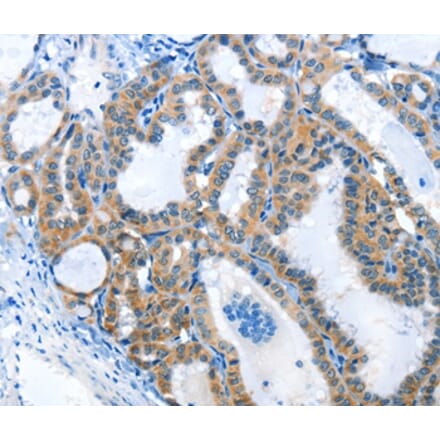
Discover our catalog of highly specific ANKMY1 antibodies validated for Immunohistochemistry reactive with human samples.

Synonyms: Ankyrin repeat and MYND domain-containing protein 1, Testis-specific ankyrin-like protein 1, TSAL1, Zinc finger MYND domain-containing protein 13 and ZMYND13

1 Product
Immunohistochemistry - ANKMY1 Antibody from Signalway Antibody (36105) - Antibodies.com

 

Search Filters Contact Us 0Checkout