ISO 9001:2015 Certified
Live Customer Support
4.5/5 on Trustpilot
100% Quality Guarantee

ASB8 Antibodies

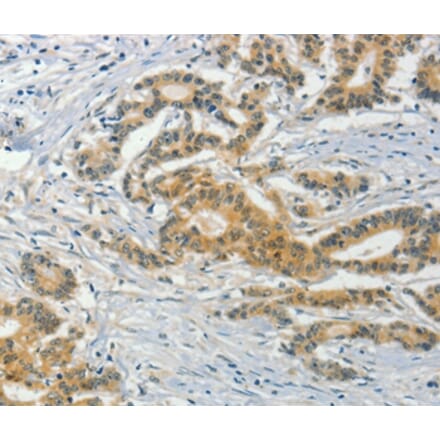
Explore our catalog of highly validated ASB8 antibodies suitable for Immunohistochemistry that react with human samples.

Synonyms: Ankyrin repeat and SOCS box protein 8 and ASB-8

1 Product
Immunohistochemistry - ASB8 Antibody from Signalway Antibody (36241) - Antibodies.com

 

Search Filters Contact Us 0Checkout