ISO 9001:2015 Certified
Live Customer Support
4.5/5 on Trustpilot
100% Quality Guarantee

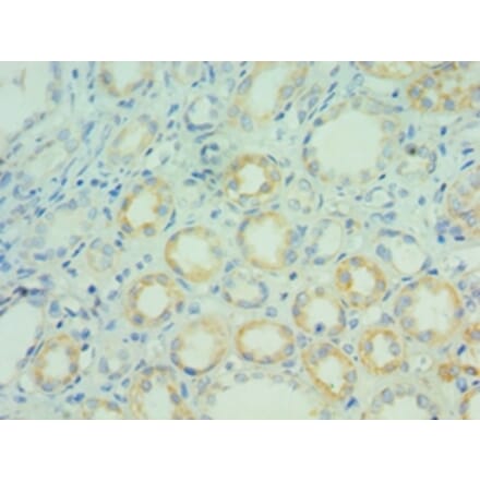
BCL7C Antibodies

Explore our range of highly validated BCL7C antibodies suitable for Immunohistochemistry that react with human samples.

Synonyms: B-cell CLL/lymphoma 7 protein family member C

1 Product
Immunohistochemistry - BCL7C Polyclonal Antibody from Signalway Antibody (42666) - Antibodies.com

 

Search Filters Contact Us 0Checkout