ISO 9001:2015 Certified
Live Customer Support
4.5/5 on Trustpilot
100% Quality Guarantee

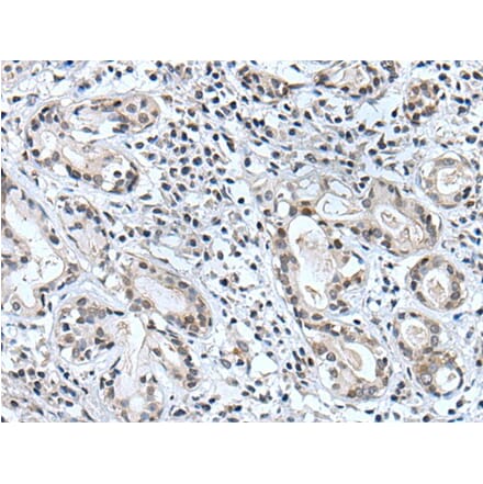
BSPRY Antibodies

Explore our range of highly specific BSPRY antibodies validated for Immunohistochemistry that react with human samples.

Synonyms: B box and SPRY domain-containing protein

1 Product
BSPRY Antibody from Signalway Antibody (43996) - Antibodies.com

 

Search Filters Contact Us 0Checkout