ISO 9001:2015 Certified
Live Customer Support
4.5/5 on Trustpilot
100% Quality Guarantee

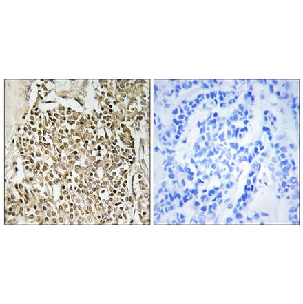
CEP350 Antibodies

Discover our collection of highly specific CEP350 antibodies validated for IHC, ICC/IF and ELISA reactive with human, mouse and rat samples. Note: A trial size antibody is available.

Synonyms: CAP350, Centrosome-associated protein 350, Centrosome-associated protein of 350 kDa and KIAA0480

1 Product
View Product10µg Trial Size
Immunohistochemistry - Anti-CEP350 Antibody (C15052) - Antibodies.com

 

Search Filters Contact Us 0Checkout