ISO 9001:2015 Certified
Live Customer Support
4.5/5 on Trustpilot
100% Quality Guarantee

CMC4 Antibodies

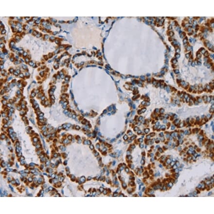
Discover our collection of highly specific CMC4 antibodies validated for IHC reactive with human samples.

Synonyms: C6.1B, Cx9C motif-containing protein 4, Mature T-cell proliferation 1 neighbor protein, Mature T-cell proliferation-1 type A, MTCP-1 type A, MTCP1, MTCP1NB, p8MTCP1 and Protein p8 MTCP-1

1 Product
Immunohistochemistry - CMC4 Antibody from Signalway Antibody (36622) - Antibodies.com
(2)

 

Search Filters Contact Us 0Checkout