ISO 9001:2015 Certified
Live Customer Support
4.5/5 on Trustpilot
100% Quality Guarantee

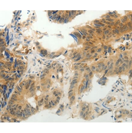
CMTM7 Antibodies

Discover our collection of highly specific CMTM7 antibodies validated for IHC reactive with human samples.

Synonyms: Chemokine-like factor superfamily member 7, CKLF-like MARVEL transmembrane domain-containing protein 7 and CKLFSF7

1 Product
Immunohistochemistry - CMTM7 Antibody from Signalway Antibody (36884) - Antibodies.com
(2)

 

Search Filters Contact Us 0Checkout