ISO 9001:2015 Certified
Live Customer Support
4.5/5 on Trustpilot
100% Quality Guarantee

COMMD4 Antibodies

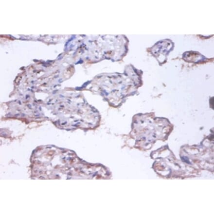
Discover our collection of highly specific COMMD4 antibodies validated for IHC reactive with human samples.

Synonyms: COMM domain-containing protein 4

1 Product
Immunohistochemistry - COMM domain-containing protein 4 Polyclonal Antibody from Signalway Antibody (42419)

 

Search Filters Contact Us 0Checkout