ISO 9001:2015 Certified
Live Customer Support
4.5/5 on Trustpilot
100% Quality Guarantee

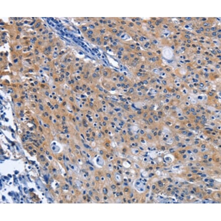
Cysteine Dioxygenase Type 1 Antibodies

Discover our collection of highly specific Cysteine Dioxygenase Type 1 antibodies validated for IHC reactive with human samples.

Synonyms: CDO, CDO-I, CDO1 and Cysteine dioxygenase type I

1 Product
Immunohistochemistry - CDO1 Antibody from Signalway Antibody (36337) - Antibodies.com
(2)

 

Search Filters Contact Us 0Checkout