ISO 9001:2015 Certified
Live Customer Support
4.5/5 on Trustpilot
100% Quality Guarantee

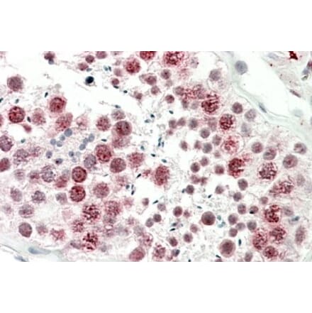
DNAJC5G Antibodies

Explore our collection of highly validated DNAJC5G antibodies suitable for IHC and ELISA that react with human samples.

Synonyms: CSP-gamma, Cysteine string protein-gamma and DnaJ homolog subfamily C member 5G

1 Product
Immunohistochemistry - Anti-DNAJC5G Antibody (A85086) - Antibodies.com

 

Search Filters Contact Us 0Checkout