Discover our collection of highly validated GLB1L3 antibodies suitable for WB, IHC and ELISA reactive with human, mouse and rat samples. Note: A trial size antibody is available.
Synonyms: Beta-galactosidase-1-like protein 3
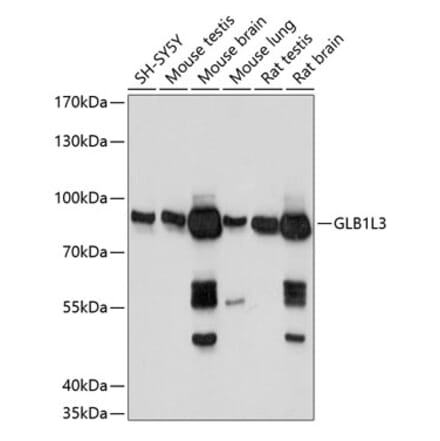
Anti-GLB1L3 Antibody (A29156) | |
50µl - 100µl/$390 – $530 | |
| Description: | Rabbit polyclonal antibody to GLB1L3 |
| Applications: | WB |
| Reactivity: | Human, Mouse, Rat |
| Conjugate: | Unconjugated |
Anti-GLB1L3 Antibody (A91129) | |
100µl/$355 | |
| Description: | Rabbit polyclonal antibody to GLB1L3. |
| Applications: | WB |
| Reactivity: | Human, Mouse, Rat |
| Conjugate: | Unconjugated |
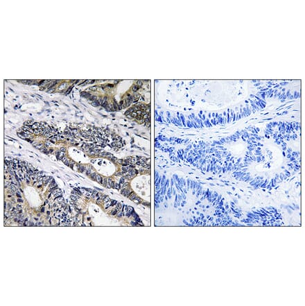
Anti-GLB1L3 Antibody (A100236) | |
10µg - 100µg/$190 – $475 | |
| Description: | Rabbit polyclonal antibody to GLB1L3. |
| Applications: | IHC, ELISA |
| Reactivity: | Human |
| Conjugate: | Unconjugated |
Anti-GLB1L3 Antibody (A45349) | |
50µl - 100µl/$275 – $405 | |
| Description: | Rabbit polyclonal antibody to GLB1L3 |
| Applications: | IHC |
| Reactivity: | Human |
| Conjugate: | Unconjugated |
Showing 1-4 of 4 products