ISO 9001:2015 Certified
Live Customer Support
4.5/5 on Trustpilot
100% Quality Guarantee

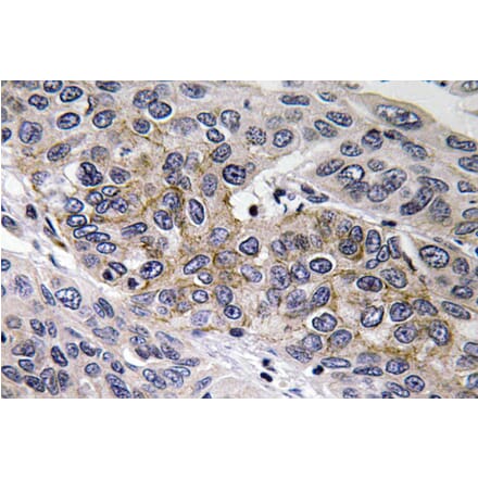
Guanylate Cyclase Antibodies

Discover our collection of highly specific Guanylate Cyclase antibodies validated for IHC and ELISA reactive with human, mouse and rat samples. Note: A trial size antibody is available.

Synonyms: GCS-beta-2, Guanylate cyclase soluble subunit beta-2 and GUCY1B2

1 Product
View Product10µg Trial Size
Immunohistochemistry - Anti-GCS-beta-2 Antibody (R12-2159) - Antibodies.com

 

Search Filters Contact Us 0Checkout