ISO 9001:2015 Certified
Live Customer Support
4.5/5 on Trustpilot
100% Quality Guarantee

HNRNPUL2 Antibodies

Discover our catalog of highly validated HNRNPUL2 antibodies suitable for Western Blotting (WB), Immunohistochemistry (IHC), Immunocytochemistry/Immunofluorescence (ICC/IF) and ELISA reactive with human and mouse samples. Note: A trial size antibody is available.

Synonyms: Heterogeneous nuclear ribonucleoprotein U-like protein 2, HNRPUL2, SAF-A2 and Scaffold-attachment factor A2

1 Product
View Product10µg Trial Size
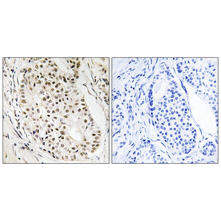
Immunohistochemistry - Anti-HNRNPUL2 Antibody (C16125) - Antibodies.com
(2)

 

Search Filters Contact Us 0Checkout