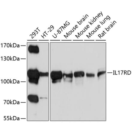
Explore our collection of highly validated IL-17RD antibodies suitable for WB and IHC that react with human, mouse and rat samples.
Synonyms: hSef, IL-17 receptor D, IL17RD, IL17Rhom, IL17RLM, Interleukin-17 receptor D, Interleukin-17 receptor-like protein, SEF and Sef homolog
Anti-IL-17RD Antibody (A12767) | |
100µl/$375 | |
| Description: | Rabbit polyclonal antibody to IL-17RD. |
| Applications: | WB |
| Reactivity: | Human, Mouse, Rat |
| Conjugate: | Unconjugated |
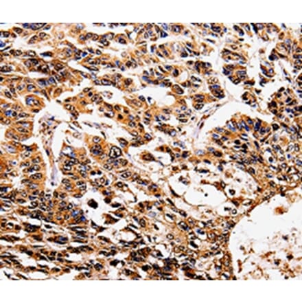
Anti-IL17RD Antibody (A45375) | |
100µl/$430 | |
| Description: | Rabbit polyclonal antibody to IL17RD |
| Applications: | IHC |
| Reactivity: | Human |
| Conjugate: | Unconjugated |
Anti-IL-17 receptor D Antibody (A41192) | |
100µl/$645 | |
| Description: | Rabbit polyclonal antibody to IL-17 receptor D |
| Applications: | WB |
| Reactivity: | Human |
| Conjugate: | Unconjugated |
Showing 1-3 of 3 products