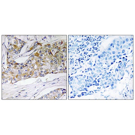
Discover our catalog of highly validated MGC4172 antibodies suitable for Western Blotting, Immunohistochemistry, Immunocytochemistry and ELISA reactive with human and mouse samples. Note: A trial size antibody is available.
Synonyms: 17-beta-hydroxysteroid dehydrogenase, 3-beta-hydroxysteroid 3-dehydrogenase, Dehydrogenase/reductase SDR family member 11, DHRS11, Estradiol 17-beta-dehydrogenase, SDR24C1 and Short-chain dehydrogenase/reductase family 24C member 1
Anti-DHRS11 Antibody (A98642) | |
10µg - 100µg/$200 – $505 | |
| Description: | Rabbit polyclonal antibody to DHRS11. |
| Applications: | IHC, IF, WB, ELISA |
| Reactivity: | Human, Mouse |
| Conjugate: | Unconjugated |
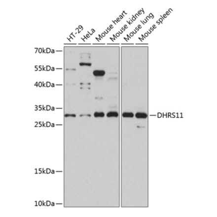
Anti-DHRS11 Antibody (A89066) | |
100µl/$375 | |
| Description: | Rabbit polyclonal antibody to DHRS11. |
| Applications: | WB |
| Reactivity: | Human, Mouse |
| Conjugate: | Unconjugated |
Showing 1-2 of 2 products