Discover our catalog of highly specific PPP1R11 antibodies validated for Western Blotting, Immunohistochemistry, Immunocytochemistry and ELISA reactive with human, mouse and rat samples. Note: A trial size antibody is available.
Synonyms: E3 ubiquitin-protein ligase PPP1R11, HCG V, HCGV, Hemochromatosis candidate gene V protein, Protein phosphatase 1 regulatory subunit 11, Protein phosphatase inhibitor 3 and TCTE5
Anti-PPP1R11 Antibody (A47556) | |
100µl/$645 | |
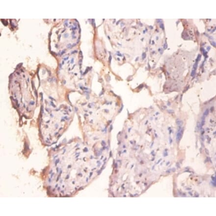
| Description: | Rabbit polyclonal antibody to PPP1R11 |
| Applications: | ELISA, WB, IHC |
| Reactivity: | Human, Rat, Mouse |
| Conjugate: | Unconjugated |
Anti-PPP1R11 Antibody (A96353) | |
10µg - 100µg/$200 – $505 | |
| Description: | Rabbit polyclonal antibody to PPP1R11. |
| Applications: | IHC, IF, ELISA |
| Reactivity: | Human, Mouse, Rat |
| Conjugate: | Unconjugated |
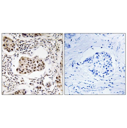
Anti-Protein phosphatase 1 regulatory subunit 11 Antibody (A44654) | |
100µg/$430 | |
| Description: | Rabbit polyclonal antibody to Protein phosphatase 1 regulatory subunit 11 |
| Applications: | IHC |
| Reactivity: | Human |
| Conjugate: | Unconjugated |
Showing 1-3 of 3 products