ISO 9001:2015 Certified
Live Customer Support
4.5/5 on Trustpilot
100% Quality Guarantee

RABEP1 Antibodies

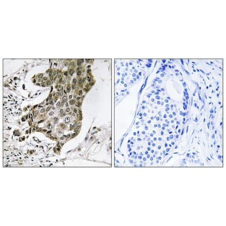
Discover our catalog of highly specific RABEP1 antibodies validated for Immunohistochemistry, Immunocytochemistry and ELISA reactive with human, mouse and rat samples. Note: A trial size antibody is available.

Synonyms: Rab GTPase-binding effector protein 1, RAB5EP, Rabaptin-4, Rabaptin-5, Rabaptin-5alpha, RABPT5, RABPT5A and Renal carcinoma antigen NY-REN-17

1 Product
View Product10µg Trial Size
Immunohistochemistry - Anti-RABEP1 Antibody (C18115) - Antibodies.com

 

Search Filters Contact Us 0Checkout