Discover our catalog of highly specific Reg4 antibodies validated for Western Blotting and Immunohistochemistry reactive with human, mouse and rat samples.
Synonyms: Gastrointestinal secretory protein, GISP, Reg IV, REG-4, REG-like protein, Regenerating islet-derived protein 4, Regenerating islet-derived protein IV and RELP
Anti-REG4 Antibody (A88604) | |
100µl/$375 | |
| Description: | Rabbit polyclonal antibody to REG4. |
| Applications: | WB |
| Reactivity: | Mouse, Rat |
| Conjugate: | Unconjugated |
Anti-REG4 Antibody (A28698) | |
50µl - 100µl/$415 – $560 | |
| Description: | Rabbit polyclonal antibody to REG4 |
| Applications: | WB |
| Reactivity: | Human, Mouse, Rat |
| Conjugate: | Unconjugated |
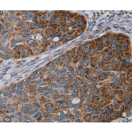
Anti-REG4 Antibody (A46994) | |
100µl/$430 | |
| Description: | Rabbit polyclonal antibody to REG4 |
| Applications: | IHC |
| Reactivity: | Human |
| Conjugate: | Unconjugated |
Showing 1-3 of 3 products