ISO 9001:2015 Certified
Live Customer Support
4.5/5 on Trustpilot
100% Quality Guarantee

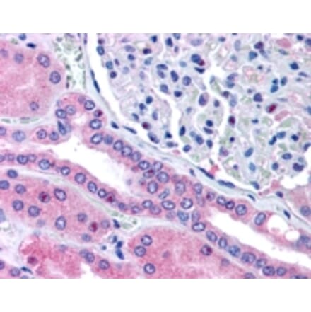
Rhophilin 2 Antibodies

Discover our catalog of highly validated Rhophilin 2 antibodies suitable for Immunohistochemistry and ELISA reactive with human samples.

Synonyms: 76 kDa RhoB effector protein, GTP-Rho-binding protein 2, p76RBE, Rhophilin-2 and RHPN2

1 Product
Immunohistochemistry - Anti-Rhophilin 2 Antibody (A84111) - Antibodies.com

 

Search Filters Contact Us 0Checkout