ISO 9001:2015 Certified
Live Customer Support
4.5/5 on Trustpilot
100% Quality Guarantee

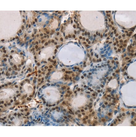
RUNX1T1 Antibodies

Discover our catalog of highly specific RUNX1T1 antibodies validated for Immunohistochemistry reactive with human and mouse samples.

Synonyms: AML1T1, CBFA2T1, CDR, Cyclin-D-related protein, Eight twenty one protein, ETO, MTG8, Protein CBFA2T1, Protein ETO, Protein MTG8, Zinc finger MYND domain-containing protein 2 and ZMYND2

1 Product
Immunohistochemistry - RUNX1T1 Antibody from Signalway Antibody (37883) - Antibodies.com

 

Search Filters Contact Us 0Checkout