ISO 9001:2015 Certified
Live Customer Support
4.5/5 on Trustpilot
100% Quality Guarantee

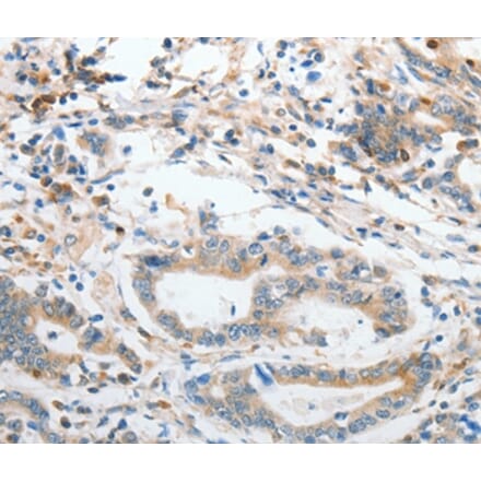
SLC15A2 Antibodies

Discover our catalog of highly validated SLC15A2 antibodies suitable for Immunohistochemistry (IHC) reactive with human samples.

Synonyms: Kidney H(+)/peptide cotransporter, Oligopeptide transporter, kidney isoform, PEPT2, Peptide transporter 2 and Solute carrier family 15 member 2

1 Product
Immunohistochemistry - SLC15A2 Antibody from Signalway Antibody (37016) - Antibodies.com
(2)

 

Search Filters Contact Us 0Checkout