ISO 9001:2015 Certified
Live Customer Support
4.5/5 on Trustpilot
100% Quality Guarantee

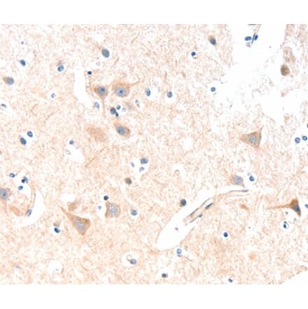
SLC19A2 Antibodies

Discover our catalog of highly validated SLC19A2 antibodies suitable for Immunohistochemistry (IHC) reactive with human samples.

Synonyms: Solute carrier family 19 member 2, TC1, Thiamine carrier 1, Thiamine transporter 1, THT1, ThTr-1, ThTr1 and TRMA

1 Product
Immunohistochemistry - SLC19A2 Antibody from Signalway Antibody (35917) - Antibodies.com

 

Search Filters Contact Us 0Checkout