ISO 9001:2015 Certified
Live Customer Support
4.5/5 on Trustpilot
100% Quality Guarantee

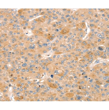
Slit3 Antibodies

Discover our catalog of highly validated Slit3 antibodies suitable for Immunohistochemistry (IHC) reactive with human, mouse and rat samples.

Synonyms: KIAA0814, MEGF5, Multiple EGF-like domains protein 5, Multiple epidermal growth factor-like domains protein 5, SLIL2, Slit homolog 3 protein and Slit-3

1 Product
Immunohistochemistry - SLIT3 Antibody from Signalway Antibody (37952) - Antibodies.com
(2)

 

Search Filters Contact Us 0Checkout