ISO 9001:2015 Certified
Live Customer Support
4.5/5 on Trustpilot
100% Quality Guarantee

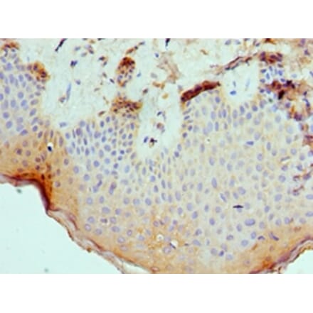
SLURP1 Antibodies

Discover our catalog of highly specific SLURP1 antibodies validated for Immunohistochemistry (IHC) reactive with human samples.

Synonyms: Anti-neoplastic urinary protein, ANUP, ARS, ARS component B, ARS(component B)-81/S, Secreted Ly-6/uPAR-related protein 1 and SLURP-1

1 Product
Immunohistochemistry - SLURP1 Polyclonal Antibody from Signalway Antibody (42326) - Antibodies.com
(2)

 

Search Filters Contact Us 0Checkout