ISO 9001:2015 Certified
Live Customer Support
4.5/5 on Trustpilot
100% Quality Guarantee

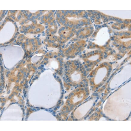
SNX29 Antibodies

Discover our catalog of highly validated SNX29 antibodies suitable for Immunohistochemistry (IHC) reactive with human samples.

Synonyms: RUN domain-containing protein 2A, RUNDC2A and Sorting nexin-29

1 Product
Immunohistochemistry - SNX29 Antibody from Signalway Antibody (37966) - Antibodies.com

 

Search Filters Contact Us 0Checkout