ISO 9001:2015 Certified
Live Customer Support
4.5/5 on Trustpilot
100% Quality Guarantee

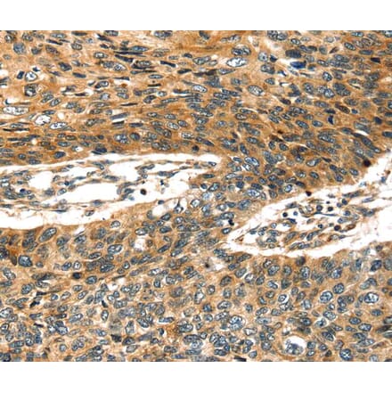
STX19 Antibodies

Discover our catalog of highly validated STX19 antibodies suitable for Immunohistochemistry (IHC) reactive with human samples.

Synonyms: Syntaxin-19

1 Product
Immunohistochemistry - STX19 Antibody from Signalway Antibody (40343) - Antibodies.com

 

Search Filters Contact Us 0Checkout