Primary Antibodies
Secondary Antibodies
Proteins & Peptides
ELISA Kits
About Us
Contact Us
Sign In/Register
0
ISO 9001:2015 Certified
Live Customer Support
4.5/5 on Trustpilot
100% Quality Guarantee
Home
Primary Antibodies
ABHD1 Antibodies
Anti-ABHD1 Antibody (A45932)
Anti-ABHD1 Antibody (A45932)
Overview
Specifications
Images
Enlarge Image
Enlarge Image
$430
Product Datasheet
Rabbit polyclonal antibody to ABHD1 for IHC.
100% Guarantee
Price Match Guarantee
Product Size:
100µl
Quantity:
1
2
3
4
5
6
7
8
9
10
Add To Cart
Request a Quotation
Custom or Bulk Request
Shipping Information
Freight/Packing Charges:
$40
Dispatched from St. Louis, MO.
Lead Time: 6-9 business days.
Specifications
Name
Anti-ABHD1 Antibody
Description
Rabbit polyclonal antibody to ABHD1
Specificity
The antibody detects endogenous levels of total ABHD1 protein.
Applications
IHC
Reactivity
Human
Immunogen
Fusion protein corresponding to residues near the C terminal of human abhydrolase domain containing 1
Host
Rabbit
Clonality
Polyclonal
Conjugate
Unconjugated
Purification
Antigen affinity purification.
Concentration
0.5 mg/mL
Formulation
Supplied in PBS, pH 7.3, containing 0.05% sodium azide and 50% glycerol.
Storage
Shipped at 4°C. Upon delivery aliquot and store at -20°C. Avoid freeze/thaw cycles.
Synonyms
Abhydrolase domain-containing protein 1, Alpha/beta hydrolase domain-containing protein 1, LABH1, Lung alpha/beta hydrolase 1, Protein ABHD1
Suitable Secondaries
Goat Anti-Rabbit IgG H&L Antibody (AP) (A294874)
Goat Anti-Rabbit IgG H&L Antibody (Biotin) (A294795)
Goat Anti-Rabbit IgG H&L Antibody (FITC) (A294887)
Goat Anti-Rabbit IgG H&L Antibody (HRP) (A294888)
See all Anti-Rabbit IgG Secondaries →
Disclaimer
This product is for research use only. It is not intended for diagnostic or therapeutic use.
Scientific Validation Data
Validation Data
(2)
Enlarge Image
Immunohistochemistry - Anti-ABHD1 Antibody (A45932)
Immunohistochemical analysis of paraffin-embedded Human colon cancer tissue using #36009 at dilution 1/15.
Enlarge Image
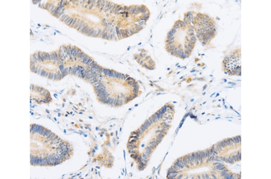
Immunohistochemistry - Anti-ABHD1 Antibody (A45932)
Immunohistochemical analysis of paraffin-embedded Human gastric cancer tissue using #36009 at dilution 1/15.
Publishing research using Anti-ABHD1 Antibody (A45932)? Please
let us know
so that we can list the citation on this page.
Proteins predicted to interact with ABHD1
Predicted protein interactions based upon String database. Revelancy score correlates with probability of interaction.
PREB Antibodies
85.4% Relevancy Score
ABHD11 Antibodies
60.7% Relevancy Score
ABHD14A Antibodies
50.8% Relevancy Score
ABHD12B Antibodies
49.2% Relevancy Score
FAM3A Antibodies
48.2% Relevancy Score
ABHD14B Antibodies
45.7% Relevancy Score
HEATR1 Antibodies
45.4% Relevancy Score
ABHD6 Antibodies
45.3% Relevancy Score
ABHD12 Antibodies
44.9% Relevancy Score
Top