ISO 9001:2015 Certified
Live Customer Support
4.5/5 on Trustpilot
100% Quality Guarantee

ABHD12B Antibodies

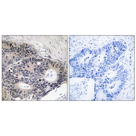
Discover our catalog of highly specific ABHD12B antibodies validated for Immunohistochemistry, Immunocytochemistry and ELISA reactive with human, mouse and rat samples. Note: A trial size antibody is available.

Synonyms: Abhydrolase domain-containing protein 12B, Alpha/beta hydrolase domain-containing protein 12B, C14orf29 and Protein ABHD12B

1 Product
View Product10µg Trial Size
Immunohistochemistry - Anti-ABHD12B Antibody (C14210) - Antibodies.com

 

Search Filters Contact Us 0Checkout