ISO 9001:2015 Certified
Live Customer Support
4.5/5 on Trustpilot
100% Quality Guarantee

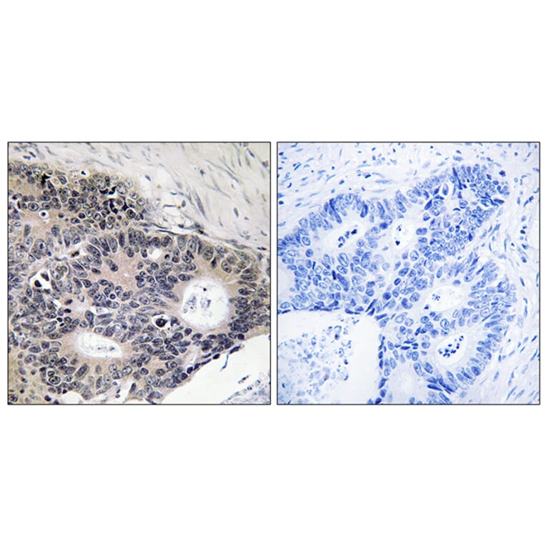
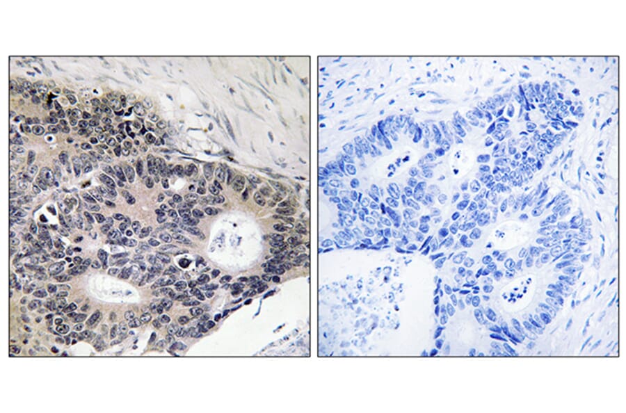
Anti-ABHD12B Antibody (A99985)

Rabbit polyclonal antibody to ABHD12B for IHC, IF and ELISA.

Shipping Information

$40
Dispatched from St. Louis, MO.
Lead Time: 6-8 business days.
Name
Anti-ABHD12B Antibody
Description
Rabbit polyclonal antibody to ABHD12B.
Applications
IHC, IF, ELISA
Dilutions
IHC: 1:50~1:100, ELISA: 1:20000
Reactivity
Human, Rat, Mouse
Cross Reactivity
No reported cross-reactivity.
Immunogen
Synthetic peptide derived from human ABHD12B (amino acids 281-330).
Host
Rabbit
Clonality
Polyclonal
Isotype
IgG
Conjugate

Unconjugated

Purification
Purified from rabbit serum by antigen affinity chromatography using the immunizing peptide.
Molecular Weight
40kDa
Product Form
Liquid
Formulation
Supplied in Phosphate Buffered Saline (without Mg2+ and Ca2+), pH 7.4, with 150mM NaCl, 0.02% Sodium Azide, and 50% Glycerol.
Storage
Shipped at 4°C. Upon delivery aliquot and store at -20°C. Avoid freeze / thaw cycles.
Synonyms
Abhydrolase domain-containing protein 12B, Alpha/beta hydrolase domain-containing protein 12B, C14orf29, Protein ABHD12B
Disclaimer
This product is for research use only. It is not intended for diagnostic or therapeutic use.
Publishing research using Anti-ABHD12B Antibody (A99985)? Please let us know so that we can list the citation on this page.

Proteins predicted to interact with ABHD12B

Predicted protein interactions based upon String database. Revelancy score correlates with probability of interaction.
61.5% Relevancy Score
61.1% Relevancy Score
58.2% Relevancy Score
57.8% Relevancy Score
54% Relevancy Score
52.9% Relevancy Score
50.4% Relevancy Score
49.2% Relevancy Score
48% Relevancy Score