Primary Antibodies
Secondary Antibodies
Proteins & Peptides
ELISA Kits
About Us
Contact Us
Sign In/Register
0
ISO 9001:2015 Certified
Live Customer Support
4.5/5 on Trustpilot
100% Quality Guarantee
Home
Primary Antibodies
ATP Citrate Lyase Antibodies
Anti-ACLY Antibody (A46777)
Anti-ACLY Antibody (A46777)
Overview
Specifications
Images
Enlarge Image
Enlarge Image
$430
Product Datasheet
Rabbit polyclonal antibody to ACLY for IHC.
100% Guarantee
Price Match Guarantee
Product Size:
100µl
Quantity:
1
2
3
4
5
6
7
8
9
10
Add To Cart
Request a Quotation
Custom or Bulk Request
Shipping Information
Freight/Packing Charges:
$40
Dispatched from St. Louis, MO.
Lead Time: 6-9 business days.
Specifications
Name
Anti-ACLY Antibody
Description
Rabbit polyclonal antibody to ACLY
Specificity
The antibody detects endogenous levels of total ACLY protein.
Applications
IHC
Reactivity
Human
Immunogen
Fusion protein corresponding to residues near the C terminal of human ATP citrate lyase
Host
Rabbit
Clonality
Polyclonal
Conjugate
Unconjugated
Purification
Antigen affinity purification.
Concentration
1.5 mg/mL
Formulation
Supplied in PBS, pH 7.3, containing 0.05% sodium azide and 50% glycerol.
Storage
Shipped at 4°C. Upon delivery aliquot and store at -20°C. Avoid freeze/thaw cycles.
Synonyms
ACL, ATP-citrate, ATP-citrate synthase, Citrate cleavage enzyme, pro-S-)-lyase
Suitable Secondaries
Goat Anti-Rabbit IgG H&L Antibody (AP) (A294874)
Goat Anti-Rabbit IgG H&L Antibody (Biotin) (A294795)
Goat Anti-Rabbit IgG H&L Antibody (FITC) (A294887)
Goat Anti-Rabbit IgG H&L Antibody (HRP) (A294888)
See all Anti-Rabbit IgG Secondaries →
Disclaimer
This product is for research use only. It is not intended for diagnostic or therapeutic use.
Scientific Validation Data
Validation Data
(2)
Enlarge Image
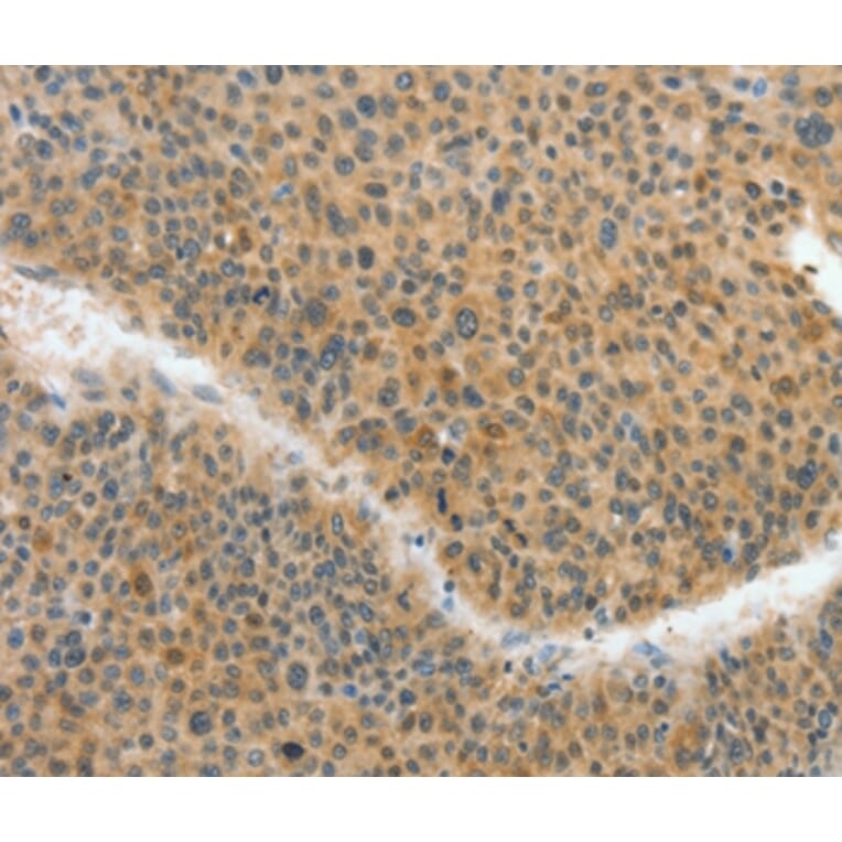
Immunohistochemistry - Anti-ACLY Antibody (A46777)
Immunohistochemical analysis of paraffin-embedded Human liver cancer tissue using #36267 at dilution 1/40.
Enlarge Image
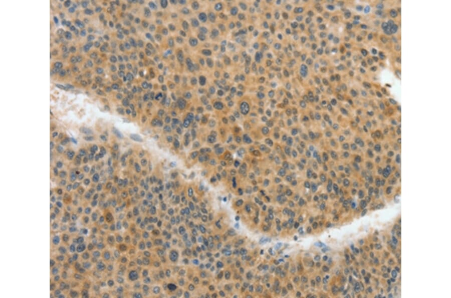
Immunohistochemistry - Anti-ACLY Antibody (A46777)
Immunohistochemical analysis of paraffin-embedded Human brain tissue using #36267 at dilution 1/40.
Publishing research using Anti-ACLY Antibody (A46777)? Please
let us know
so that we can list the citation on this page.
Alternative products to Anti-ACLY Antibody (A46777)
(11)
A88052
Anti-ATP citrate lyase Antibody
Rabbit polyclonal antibody to ATP citrate lyase for WB, IHC and ICC/IF.
(5)
A88061
Anti-ATP citrate lyase (phospho Ser455) Antibody
Rabbit polyclonal antibody to ATP citrate lyase (phospho Ser455) for WB, IHC and IP.
(3)
A94852
Anti-ATP-Citrate Lyase Antibody
Rabbit polyclonal antibody to ATP-Citrate Lyase for WB, IF and ELISA.
(2)
A39288
Anti-ATP-citrate synthase Antibody
Rabbit polyclonal antibody to ATP-citrate synthase for ELISA, WB and ICC/IF.
A93727
Anti-ATP-Citrate Lyase (phospho Ser454) Antibody
Rabbit polyclonal antibody to ATP-Citrate Lyase (phospho Ser454) for WB, IHC, IF and ELISA.
A344651
Anti-ATP Citrate Lyase Antibody [24GB9815]
Recombinant rabbit monoclonal [24GB9815] antibody to ATP Citrate Lyase for WB, Flow Cytometry and ICC/IF.
A344652
Anti-ATP Citrate Lyase Antibody [23GB1620]
Recombinant rabbit monoclonal [23GB1620] antibody to ATP Citrate Lyase for WB, Flow Cytometry and ICC/IF.
(11)
A88052
Anti-ATP citrate lyase Antibody
Rabbit polyclonal antibody to ATP citrate lyase for WB, IHC and ICC/IF.
(5)
A88061
Anti-ATP citrate lyase (phospho Ser455) Antibody
Rabbit polyclonal antibody to ATP citrate lyase (phospho Ser455) for WB, IHC and IP.
(3)
A94852
Anti-ATP-Citrate Lyase Antibody
Rabbit polyclonal antibody to ATP-Citrate Lyase for WB, IF and ELISA.
(2)
A39288
Anti-ATP-citrate synthase Antibody
Rabbit polyclonal antibody to ATP-citrate synthase for ELISA, WB and ICC/IF.
A93727
Anti-ATP-Citrate Lyase (phospho Ser454) Antibody
Rabbit polyclonal antibody to ATP-Citrate Lyase (phospho Ser454) for WB, IHC, IF and ELISA.
A344651
Anti-ATP Citrate Lyase Antibody [24GB9815]
Recombinant rabbit monoclonal [24GB9815] antibody to ATP Citrate Lyase for WB, Flow Cytometry and ICC/IF.
A344652
Anti-ATP Citrate Lyase Antibody [23GB1620]
Recombinant rabbit monoclonal [23GB1620] antibody to ATP Citrate Lyase for WB, Flow Cytometry and ICC/IF.
See all ACLY Antibodies
Proteins predicted to interact with ATP Citrate Lyase
Predicted protein interactions based upon String database. Revelancy score correlates with probability of interaction.
Citrate Synthase Antibodies
99.8% Relevancy Score
Fatty Acid Synthase Antibodies
99.4% Relevancy Score
SUCLG1 Antibodies
99.1% Relevancy Score
DLAT Antibodies
98.8% Relevancy Score
Acetyl-CoA Carboxylase alpha Antibodies
98.6% Relevancy Score
Aconitase 2 Antibodies
98.5% Relevancy Score
Aconitase 1 Antibodies
98.1% Relevancy Score
MDH2 Antibodies
98.1% Relevancy Score
Pyruvate Carboxylase Antibodies
97.4% Relevancy Score
Top