Western Blot - Anti-ATP citrate lyase (phospho Ser455) Antibody (A88061)
Western blot analysis of extracts of NIH/3T3 cells, using Anti-ATP citrate lyase (phospho Ser455) Antibody (A88061) at 1:2,000 dilution. NIH/3T3 cells were treated by Insulin (100nM) for 10 minutes after serum-starvation overnight. The secondary antibody was Goat Anti-Rabbit IgG H&L Antibody (HRP) at 1:10,000 dilution. Lysates/proteins were present at 25µg per lane. The blocking buffer used was 3% BSA. Detection was with a ECL Basic Kit. Exposure time: 60s.
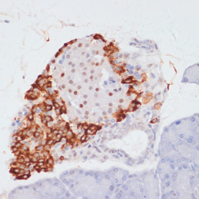
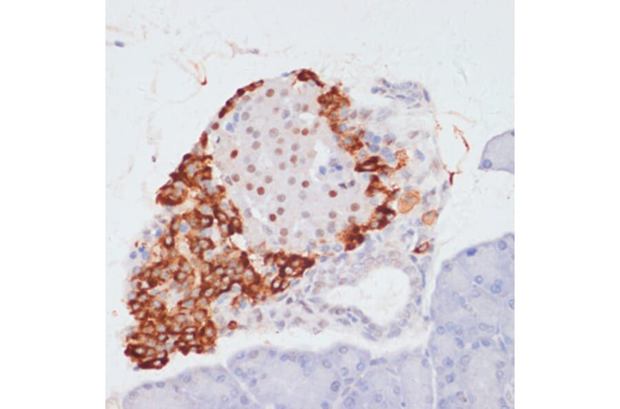
Immunohistochemistry analysis of paraffin-embedded rat pancreas using Anti-ATP citrate lyase (phospho Ser455) Antibody (A88061) at a dilution of 1:100 (40x lens). Perform microwave antigen retrieval with 10 mM Tris/EDTA buffer pH 9.0 before commencing with IHC staining protocol.
Immunohistochemistry analysis of paraffin-embedded mouse brain using Anti-ATP citrate lyase (phospho Ser455) Antibody (A88061) at a dilution of 1:100 (40x lens). Perform microwave antigen retrieval with 10 mM Tris/EDTA buffer pH 9.0 before commencing with IHC staining protocol.
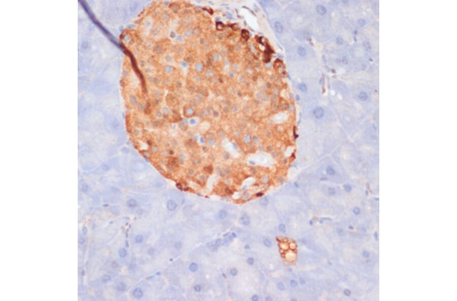
Immunohistochemistry analysis of paraffin-embedded mouse pancreas using Anti-ATP citrate lyase (phospho Ser455) Antibody (A88061) at a dilution of 1:100 (40x lens). Perform microwave antigen retrieval with 10 mM Tris/EDTA buffer pH 9.0 before commencing with IHC staining protocol.
Western Blot - Anti-ATP citrate lyase (phospho Ser455) Antibody (A88061)
Immunoprecipitation analysis of 200µg extracts of NIH/3T3 cells using 3µg of Anti-ATP citrate lyase (phospho Ser455) Antibody (A88061). This Western blot was performed on the immunoprecipitate using Anti-ATP citrate lyase (phospho Ser455) Antibody (A88061) at a dilution of 1:1000. NIH/3T3 cells were treated by Insµlin (100 nM) at 37°C for 10 minutes after serum-starvation overnight.