ISO 9001:2015 Certified
Live Customer Support
4.5/5 on Trustpilot
100% Quality Guarantee

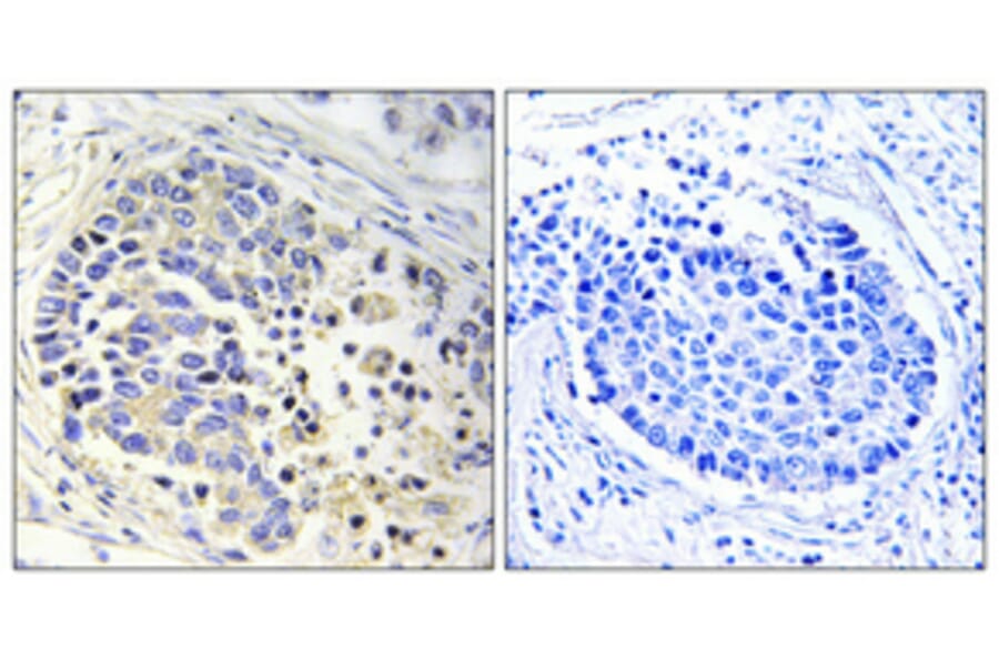
Anti-ACOT2 Antibody (A101235)

Rabbit polyclonal antibody to ACOT2 for WB, IHC, IF and ELISA.

Shipping Information

$40
Dispatched from St. Louis, MO.
Lead Time: 6-8 business days.
Name
Anti-ACOT2 Antibody
Description
Rabbit polyclonal antibody to ACOT2.
Applications
WB, IHC, IF, ELISA
Dilutions
WB: 1:500~1:1000, ELISA: 1:40000
Reactivity
Human, Rat, Mouse
Cross Reactivity
No reported cross-reactivity.
Immunogen
Synthetic peptide derived from human ACOT2 (amino acids 171-220).
Host
Rabbit
Clonality
Polyclonal
Isotype
IgG
Conjugate

Unconjugated

Purification
Purified from rabbit serum by antigen affinity chromatography using the immunizing peptide.
Molecular Weight
53kDa
Product Form
Liquid
Formulation
Supplied in Phosphate Buffered Saline (without Mg2+ and Ca2+), pH 7.4, with 150mM NaCl, 0.02% Sodium Azide, and 50% Glycerol.
Storage
Shipped at 4°C. Upon delivery aliquot and store at -20°C. Avoid freeze / thaw cycles.
Synonyms
Acyl-coenzyme A thioester hydrolase 2a, Acyl-coenzyme A thioesterase 2, mitochondrial, CTE-Ia, Long-chain acyl-CoA thioesterase 2, PTE2, PTE2A, ZAP128
Disclaimer
This product is for research use only. It is not intended for diagnostic or therapeutic use.
Publishing research using Anti-ACOT2 Antibody (A101235)? Please let us know so that we can list the citation on this page.

Alternative products to Anti-ACOT2 Antibody (A101235)

Proteins predicted to interact with Acyl-CoA Thioesterase 2

Predicted protein interactions based upon String database. Revelancy score correlates with probability of interaction.
97.6% Relevancy Score
94.6% Relevancy Score
91.7% Relevancy Score
90.4% Relevancy Score
90.3% Relevancy Score
90.3% Relevancy Score
90.2% Relevancy Score