ISO 9001:2015 Certified
Live Customer Support
4.5/5 on Trustpilot
100% Quality Guarantee

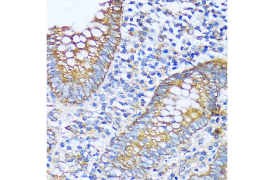
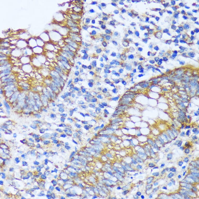
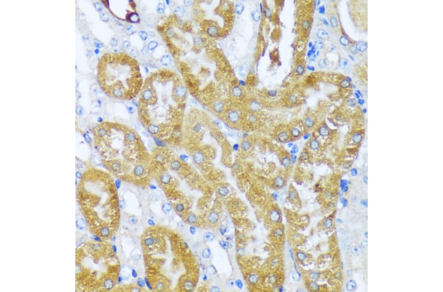
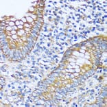
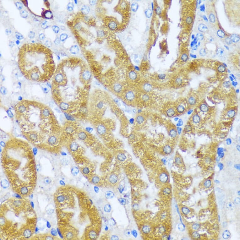
Anti-acyl-CoA Thioesterase 2 Antibody (A90260)

Rabbit polyclonal antibody to acyl-CoA Thioesterase 2 for WB and IHC.

Shipping Information

$40
Dispatched from St. Louis, MO.
Lead Time: 7-10 business days.
Name
Anti-acyl-CoA Thioesterase 2 Antibody
Description
Rabbit polyclonal antibody to acyl-CoA Thioesterase 2.
Applications
WB, IHC
Dilutions
WB: 1:500-1:2,000, IHC: 1:50-1:200
Reactivity
Human, Mouse, Rat
Immunogen
Recombinant fusion protein containing a sequence corresponding to amino acids 222-483 of human ACOT2 (NP_006812.3).
Sequence
IVDMFGTGGGLLEYRASLLAGKGFAVMALAYYNYEDLPKTMETLHLEYFEEAMNYLLSHPEVKGPGVGLLGISKGGELCLSMASFLKGITAAVVINGSVANVGGTLHYKGETLPPVGVNRNRIKVTKDGYADIVDVLNSPLEGPDQKSFIPVERAESTFLFLVGQDDHNWKSEFYANEACKRLQAHGRRKPQIICYPETGHYIEPPYFPLCRASLHALVGSPIIWGGEPRAHAMAQVDAWKQLQTFFHKHLGGHEGTIPSKV
Host
Rabbit
Clonality
Polyclonal
Isotype
IgG
Conjugate

Unconjugated

Purification
Affinity purification.
Concentration
Lot Specific
Molecular Weight
50 kDa
Product Form
Liquid
Formulation
Supplied in Phosphate Buffered Saline, pH 7.3, with 50% Glycerol and 0.01% Thiomersal.
Storage
Shipped at 4°C. Upon delivery aliquot and store at -20°C. Avoid freeze/thaw cycles.
Synonyms
ACOT2, Acyl-coenzyme A thioester hydrolase 2a, Acyl-coenzyme A thioesterase 2, mitochondrial, CTE-Ia, Long-chain acyl-CoA thioesterase 2, PTE2, PTE2A, ZAP128
Disclaimer
This product is for research use only. It is not intended for diagnostic or therapeutic use.
Publishing research using Anti-acyl-CoA Thioesterase 2 Antibody (A90260)? Please let us know so that we can list the citation on this page.

Alternative products to Anti-acyl-CoA Thioesterase 2 Antibody (A90260)

Proteins predicted to interact with Acyl-CoA Thioesterase 2

Predicted protein interactions based upon String database. Revelancy score correlates with probability of interaction.
97.6% Relevancy Score
94.6% Relevancy Score
91.7% Relevancy Score
90.4% Relevancy Score
90.3% Relevancy Score
90.3% Relevancy Score
90.2% Relevancy Score