This antibody is specific to Acrolein modified proteins.
Applications
WB, ICC/IF, FACS, Flow Cytometry, ELISA
Dilutions
WB: 1:1,000, ICC/IF: 1:50, ELISA: 1:1,000
Reactivity
Species Independent
Cross Reactivity
This antibody does not cross-react with Crotonaldehyde, Hexanoyl Lysine, 4-Hydroxy-2-hexenal, 4-Hydroxy nonenal, Malondialdehyde, or Methylglyoxal modified proteins.
Flow cytometry analysis of human neuroblastoma cells (SH-SY5Y), fixed in 90% methanol, using Anti-Acrolein Antibody [2H2] (A304754) at 1:50 for 30 minutes on ice. The secondary antibody used was Goat Anti-Mouse: PE at 1:100 for 20 minutes at room temperature. Isotype Control: Non Specific IgG. Cells were subject to oxidative stress by treating with 250 µM H2O2 for 24 hours.
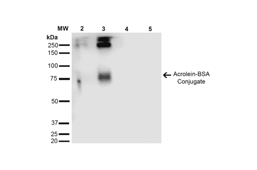
Western Blot - Anti-Acrolein Antibody [2H2] (A304754)
Western blot analysis of Acrolein-BSA Conjugate showing detection of 67 kDa Acrolein protein using Anti-Acrolein Antibody [2H2] (A304754) at 1:1,000 for 2 hours at room temperature. Lane 1: Molecular Weight Ladder (MW). Lane 2: Acrolein-BSA (0.5 µg). Lane 3: Acrolein-BSA (2.0 µg). Lane 4: BSA (0.5 µg). Lane 5: BSA (2.0 µg). Block: 5% Skim Milk in TBST. The secondary antibody used was Goat Anti-Mouse IgG: HRP at 1:2000 for 60 minutes at room temperature. Color Development: ECL solution for 5 minutes in room temperature. Predicted/Observed Size: 67 kDa.
Immunocytochemistry/Immunofluorescence analysis of human embryonic kidney epithelial cell line (HEK293), fixed in 5% formaldehyde for 5 minutes, using Anti-Acrolein Antibody [2H2] (A304754), at 1:50 for 30-60 min at room temperature. The secondary antibody used was Goat Anti-Mouse Alexa Fluor 488 at 1:1500 for 30-60 min at room temperature. Counterstain: Phalloidin Alexa Fluor 633 F-Actin stain; DAPI (blue) nuclear stain at 1:250, 1:50,000 for 30-60 min at room temperature. Magnification: 20X (2X Zoom). (A,C,E,G) Untreated. (B,D,F,H) Cells cultured overnight with 50 µM H2O2. (A,B) DAPI (blue) nuclear stain. (C,D) Phalloidin Alexa Fluor 633 F-Actin stain. (E,F) Acrolein Antibody. (G,H) Composite.
Publishing research using Anti-Acrolein Antibody [2H2] (A304754)? Please let us know so that we can list the citation on this page.
Alternative products to Anti-Acrolein Antibody [2H2] (A304754)