ISO 9001:2015 Certified
Live Customer Support
4.5/5 on Trustpilot
100% Quality Guarantee

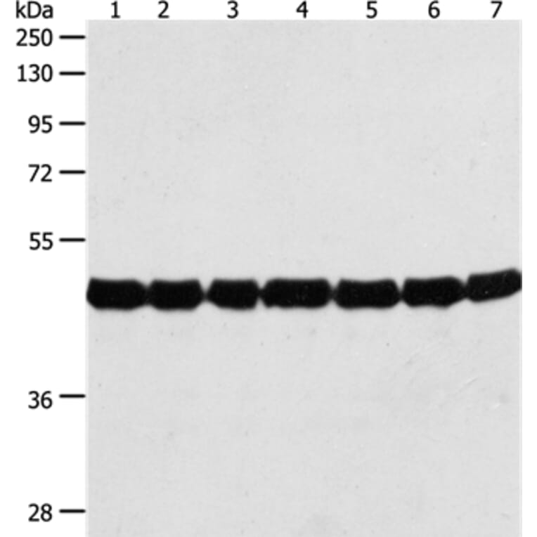
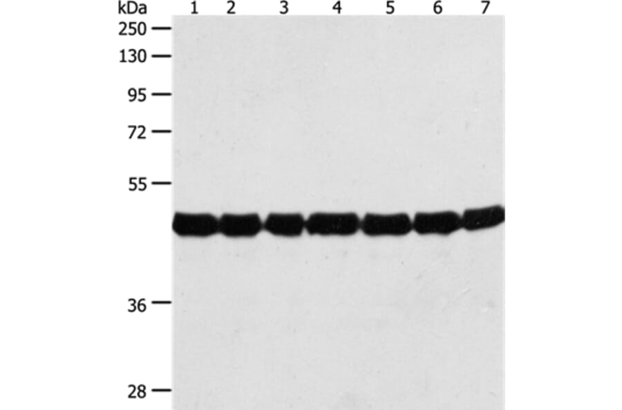
Anti-ACTIN Antibody (A43132)

Rabbit polyclonal antibody to ACTIN for ELISA and WB.

Shipping Information

$40
Dispatched from St. Louis, MO.
Lead Time: 6-9 business days.
Name
Anti-ACTIN Antibody
Description
Rabbit polyclonal antibody to ACTIN
Specificity
The antibody detects endogenous levels of total ACTIN protein.
Applications
ELISA, WB
Dilutions
Western blotting: 1:500-1:2000
Reactivity
Plants
Immunogen
Synthetic peptide corresponding to residues near the N terminal of Arabidopsis thaliana actin
Host
Rabbit
Clonality
Polyclonal
Conjugate

Unconjugated

Purification
Antigen affinity purification.
Concentration
1 mg/mL
Formulation
Supplied in PBS, pH 7.3, containing 0.05% sodium azide and 50% glycerol.
Storage
Shipped at 4°C. Upon delivery aliquot and store at -20°C. Avoid freeze/thaw cycles.
Synonyms
a actin, ACTA, ACTA1, Actin alpha skeletal muscle, actin, alpha 1, skeletal muscle, actin, alpha 1, skeletal muscle 1, Actin, alpha skeletal muscle, actina, actine, ACTS_HUMAN, aktin, Alpha Actin 1, alpha skeletal muscle, Alpha skeletal muscle Actin, alpha-actin, Alpha-actin-1, ASMA, CFTD, CFTD1, CFTDM, MPFD, NEM1, NEM2, NEM3, nemaline myopathy type 3
Disclaimer
This product is for research use only. It is not intended for diagnostic or therapeutic use.
Publishing research using Anti-ACTIN Antibody (A43132)? Please let us know so that we can list the citation on this page.

Alternative products to Anti-ACTIN Antibody (A43132)