ISO 9001:2015 Certified
Live Customer Support
4.5/5 on Trustpilot
100% Quality Guarantee

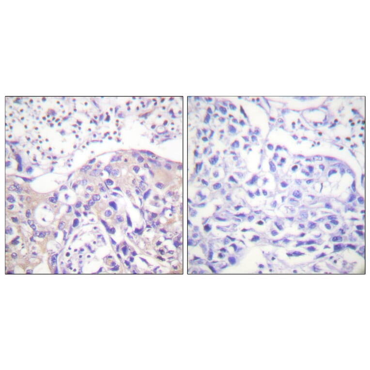
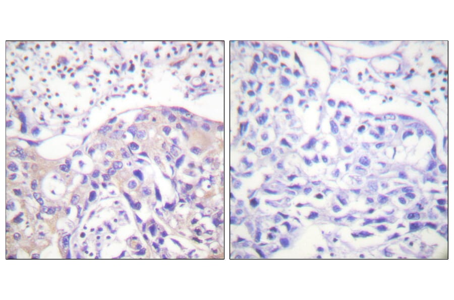
Anti-ADD1 (phospho Thr445) Antibody (A93909)

Rabbit polyclonal antibody to ADD1 (phospho Thr445) for IHC, IF and ELISA.

Shipping Information

$40
Dispatched from St. Louis, MO.
Lead Time: 6-8 business days.
Name
Anti-ADD1 (phospho Thr445) Antibody
Description
Rabbit polyclonal antibody to ADD1 (phospho Thr445).
Specificity
This antibody detects endogenous levels of ADD1 only when phosphorylated at Thr445.
Applications
IHC, IF, ELISA
Dilutions
IHC: 1:50~1:100, ELISA: 1:1000
Reactivity
Human, Mouse, Rat
Cross Reactivity
No reported cross-reactivity.
Immunogen
Synthetic peptide derived from human ADD1 around the phosphorylation site of Thr445 (amino acids 411-460).
Host
Rabbit
Clonality
Polyclonal
Isotype
IgG
Conjugate

Unconjugated

Purification
Purified from rabbit serum by antigen affinity chromatography using the immunizing phospho peptide.
Molecular Weight
80kDa
Product Form
Liquid
Formulation
Supplied in Phosphate Buffered Saline (without Mg2+ and Ca2+), pH 7.4, with 150mM NaCl, 0.02% Sodium Azide, and 50% Glycerol.
Storage
Shipped at 4°C. Upon delivery aliquot and store at -20°C. Avoid freeze / thaw cycles.
Synonyms
ADD1, ADDA, Alpha-adducin, Erythrocyte adducin subunit alpha
Disclaimer
This product is for research use only. It is not intended for diagnostic or therapeutic use.
Publishing research using Anti-ADD1 (phospho Thr445) Antibody (A93909)? Please let us know so that we can list the citation on this page.

Alternative products to Anti-ADD1 (phospho Thr445) Antibody (A93909)

Proteins predicted to interact with alpha Adducin

Predicted protein interactions based upon String database. Revelancy score correlates with probability of interaction.
99.4% Relevancy Score
99.3% Relevancy Score
99.2% Relevancy Score
98.3% Relevancy Score
98.1% Relevancy Score
97.3% Relevancy Score
95.5% Relevancy Score
89.6% Relevancy Score
84.5% Relevancy Score