Primary Antibodies
Secondary Antibodies
Proteins & Peptides
ELISA Kits
About Us
Contact Us
Sign In/Register
0
ISO 9001:2015 Certified
Live Customer Support
4.5/5 on Trustpilot
100% Quality Guarantee
Home
Primary Antibodies
ADO Antibodies
Anti-ADO Antibody (A39147)
Anti-ADO Antibody (A39147)
Overview
Specifications
Images
Enlarge Image
Enlarge Image
$430
Product Datasheet
Rabbit polyclonal antibody to ADO for WB and IHC.
100% Guarantee
Price Match Guarantee
Product Size:
100µl
Quantity:
1
2
3
4
5
6
7
8
9
10
Add To Cart
Request a Quotation
Custom or Bulk Request
Shipping Information
Freight/Packing Charges:
$40
Dispatched from St. Louis, MO.
Lead Time: 6-9 business days.
Specifications
Name
Anti-ADO Antibody
Description
Rabbit polyclonal antibody to ADO
Specificity
The antibody detects endogenous levels of total ADO protein.
Applications
WB
,
IHC
Reactivity
Human, Mouse
Immunogen
Synthetic peptide corresponding to a region derived from internal residues of human 2-aminoethanethiol dioxygenase
Host
Rabbit
Clonality
Polyclonal
Conjugate
Unconjugated
Purification
Antigen affinity purification.
Concentration
0.7 mg/mL
Formulation
Supplied in PBS, pH 7.3, containing 0.05% sodium azide and 50% glycerol.
Storage
Shipped at 4°C. Upon delivery aliquot and store at -20°C. Avoid freeze/thaw cycles.
Synonyms
2-aminoethanethiol dioxygenase, C10orf22, Cysteamine dioxygenase
Suitable Secondaries
Goat Anti-Rabbit IgG H&L Antibody (AP) (A294874)
Goat Anti-Rabbit IgG H&L Antibody (Biotin) (A294795)
Goat Anti-Rabbit IgG H&L Antibody (FITC) (A294887)
Goat Anti-Rabbit IgG H&L Antibody (HRP) (A294888)
See all Anti-Rabbit IgG Secondaries →
Disclaimer
This product is for research use only. It is not intended for diagnostic or therapeutic use.
Scientific Validation Data
Validation Data
(2)
Enlarge Image
Anti-ADO Antibody (A39147)
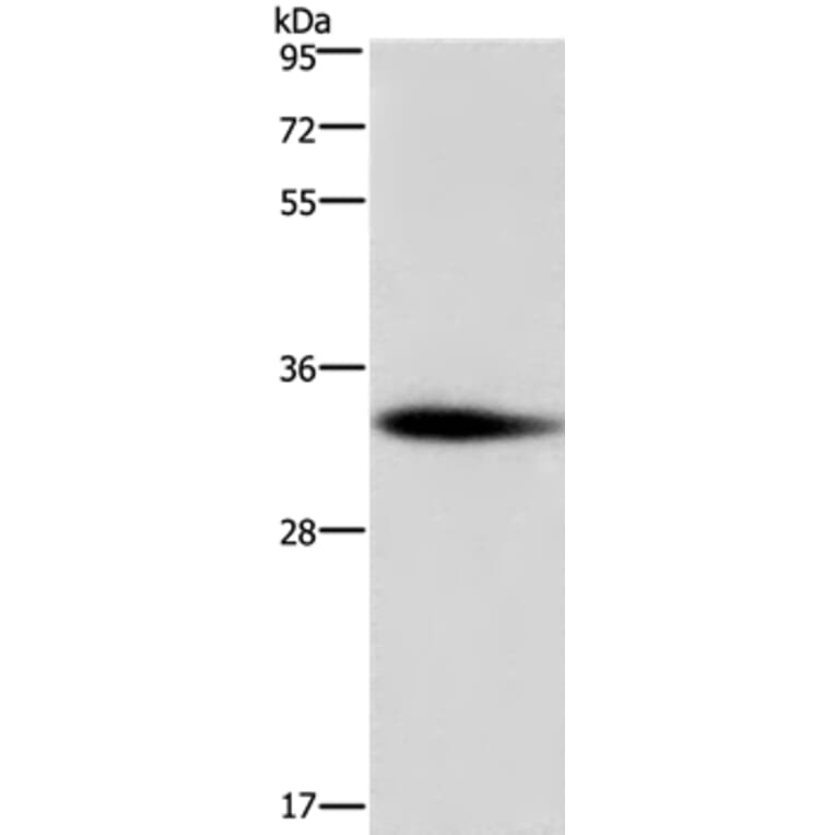
Gel: 12% SDS-PAGE Lysates (from left to right): Mouse testis tissue Amount of lysate: 30ug per lane Primary antibody: 1/350 dilution Secondary antibody dilution: 1/8000 Exposure time: 5 minutes
Enlarge Image
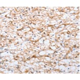
Immunohistochemistry - Anti-ADO Antibody (A39147)
Immunohistochemical analysis of paraffin-embedded Human renal cancer tissue using #36728 at dilution 1/20.
Publishing research using Anti-ADO Antibody (A39147)? Please
let us know
so that we can list the citation on this page.
Proteins predicted to interact with ADO
Predicted protein interactions based upon String database. Revelancy score correlates with probability of interaction.
Cysteine Dioxygenase Type 1 Antibodies
98.6% Relevancy Score
GAD65 Antibodies
91% Relevancy Score
GAD1 Antibodies
90.9% Relevancy Score
ASCIZ Antibodies
46.1% Relevancy Score
C3 Antibodies
42.4% Relevancy Score
Slc6a6 Antibodies
41.9% Relevancy Score
SCRN3 Antibodies
38.6% Relevancy Score
gamma Cystathionase Antibodies
37.5% Relevancy Score
EGR2 Antibodies
37.3% Relevancy Score
Top