ISO 9001:2015 Certified
Live Customer Support
4.5/5 on Trustpilot
100% Quality Guarantee

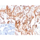
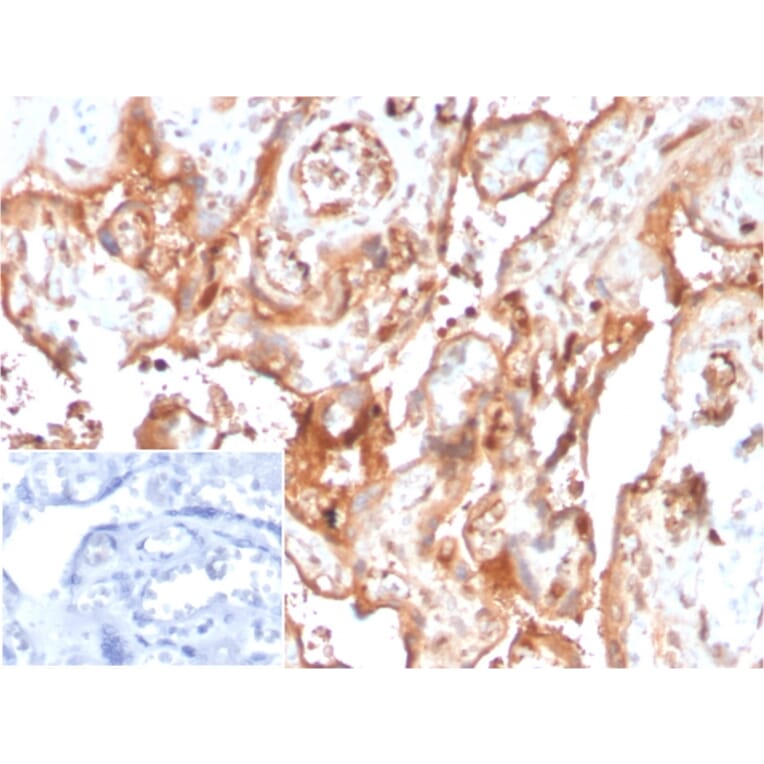
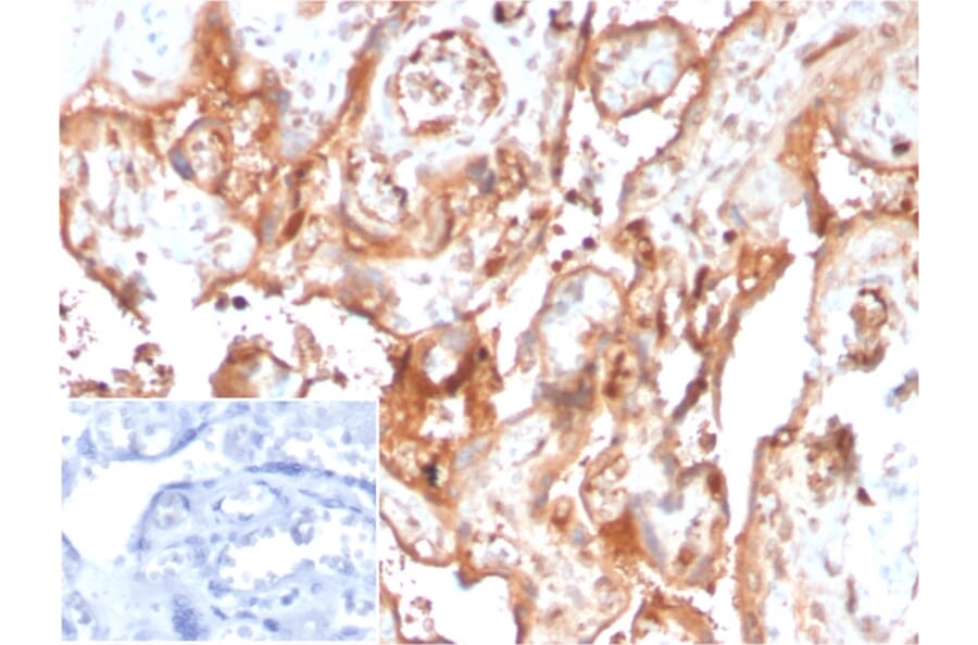
Anti-AHSG Antibody [AHSG/3748] - BSA and Azide free (A278171)

Mouse monoclonal [AHSG/3748] antibody to AHSG for IHC-P.

Alternative Formats and ConjugatesAlternative Formats

Shipping Information

$40
Dispatched from St. Louis, MO.
Lead Time: 5-8 business days.
Name
Anti-AHSG Antibody [AHSG/3748] - BSA and Azide free
Description
Mouse monoclonal [AHSG/3748] antibody to AHSG.
Specificity
Fetuin (also designated α2-z-globulin or α2-HS-glycoprotein) is a secreted plasma protein that is expressed in hepatocytes, monocyte/macrophages and in bone and is downregulated during injury and inflammation. Fetuin preferentially binds to and carries calcium and barium ions in the blood, where it is thought to mediate serum calcium homeostasis and mineralization, and to potentially participate in the transport of bioactive molecules. Additionally, fetuin has been shown to function as an acute phase anti-inflammatory mediator that is critical to regulating the innate immune response following tissue injury. During inflammation, circulating fetuin levels substantially decrease as fetuin becomes associated with the membranes of macrophages. This membrane associated form of fetuin acts as an opsonic participant by potentiating the entry of cationic small molecules into the activated macro-phage, which in turn facilitates macrophage-deactivating mechanisms. Biologically active fetuin is derived from a precursor protein that is cleaved at the aminoterminus to generate two chains held together by a single disulfide bond.
Applications
IHC-P
Dilutions
IHC-P: 1-2 µg/ml
Reactivity
Human
Immunogen
Recombinant fragment corresponding to human AHSG protein. The exact sequence is proprietary.
Host
Mouse
Clonality
Monoclonal
Clone ID
AHSG/3748
Isotype
IgG1
Light Chains
kappa
Conjugate

Unconjugated

Purification
Protein A/G chromatography.
Concentration
1 mg/ml
Molecular Weight
59 kDa
Product Form
Liquid
Formulation
Supplied in 10mM Phosphate Buffered Saline; without Sodium Azide and carrier free.
Storage
Shipped at 4°C. Upon delivery aliquot and store at -20°C. Avoid freeze / thaw cycles.
General Notes
This monoclonal antibody is also available in a different formulation with BSA and Sodium Azide - Anti-AHSG Antibody [AHSG/3748] (A277583).
Synonyms
Alpha-2-HS-glycoprotein, Alpha-2-Z-globulin, Ba-alpha-2-glycoprotein, FETUA, Fetuin-A
Disclaimer
This product is for research use only. It is not intended for diagnostic or therapeutic use.
Publishing research using Anti-AHSG Antibody [AHSG/3748] - BSA and Azide free (A278171)? Please let us know so that we can list the citation on this page.

Alternative products to Anti-AHSG Antibody [AHSG/3748] - BSA and Azide free (A278171)

Proteins predicted to interact with Fetuin A

Predicted protein interactions based upon String database. Revelancy score correlates with probability of interaction.
99.9% Relevancy Score
98.8% Relevancy Score
98% Relevancy Score
97.7% Relevancy Score
97.1% Relevancy Score
95.7% Relevancy Score