ISO 9001:2015 Certified
Live Customer Support
4.5/5 on Trustpilot
100% Quality Guarantee

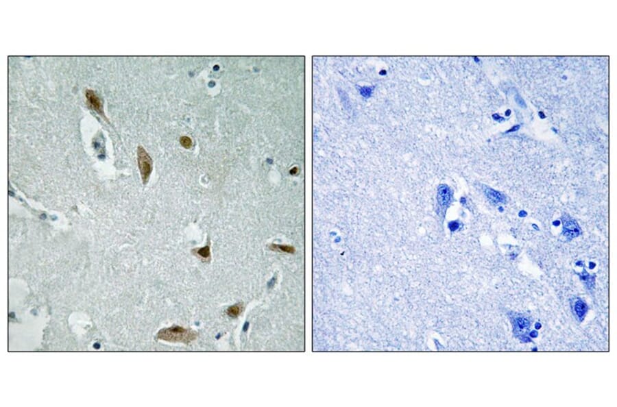
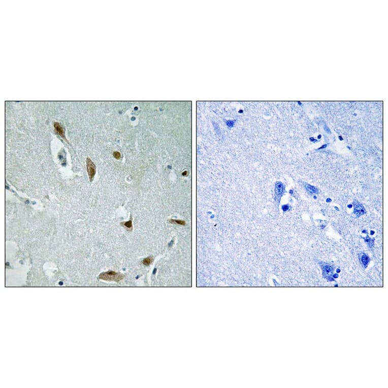
Anti-AKT1 / 3 (Phospho-Tyr437 / 434) Antibody (A50369)

Rabbit polyclonal antibody to AKT1 / 3 (Phospho-Tyr437 / 434) for WB and IHC.

Shipping Information

$40
Dispatched from St. Louis, MO.
Lead Time: 6-9 business days.
Name
Anti-AKT1 / 3 (Phospho-Tyr437 / 434) Antibody
Description
Rabbit polyclonal antibody to AKT1 / 3 (Phospho-Tyr437 / 434)
Specificity
The antibody detects endogenous levels of AKT1 / 3 only when phosphorylated at tyrosine 437.
Applications
WB, IHC
Reactivity
Human, Mouse, Rat
Immunogen
Peptide sequence around phosphorylation site of tyrosine 437 (T-R-Y(p)-F-D) derived from Human AKT1 / 3.
Host
Rabbit
Clonality
Polyclonal
Conjugate

Unconjugated

Purification
Antibodies were produced by immunizing rabbits with synthetic phosphopeptide and KLH conjugates. Antibodies were purified by affinity-chromatography using epitope-specific phosphopeptide. Non-phospho specific antibodies were removed by chromatogramphy using non-phosphopeptide.
Concentration
1.0 mg/mL
Formulation
Supplied in phosphate-buffered saline (without Mg²? and Ca²?), pH 7.4, containing 150 mM NaCl, 0.02% sodium azide, and 50% glycerol.
Storage
Shipped at 4°C. Upon delivery aliquot and store at -20°C. Avoid freeze/thaw cycles.
Synonyms
PKB, PKB alpha, Protein kinase B, Protein kinase B alpha, Proto-oncogene c-Akt, RAC, RAC-alpha serine/threonine-protein kinase, RAC-PK-alpha
Disclaimer
This product is for research use only. It is not intended for diagnostic or therapeutic use.
Publishing research using Anti-AKT1 / 3 (Phospho-Tyr437 / 434) Antibody (A50369)? Please let us know so that we can list the citation on this page.

Alternative products to Anti-AKT1 / 3 (Phospho-Tyr437 / 434) Antibody (A50369)

Proteins predicted to interact with AKT1

Predicted protein interactions based upon String database. Revelancy score correlates with probability of interaction.
99.9% Relevancy Score
99.9% Relevancy Score
99.9% Relevancy Score
99.9% Relevancy Score
99.9% Relevancy Score
99.9% Relevancy Score
99.9% Relevancy Score
99.9% Relevancy Score
99.8% Relevancy Score