Anti-AKT1 Antibody [AKT1/2491] - BSA and Azide free
Description
Mouse monoclonal [AKT1/2491] antibody to AKT1.
Specificity
This antibody recognizes a protein of 62kDa, which is identified as AKT1The serine/threonine kinase Akt family contains several members, including Akt1 (also designated PKB or RacPK), Akt2 (also designated PKB tyrosine residues 740 and 751, which bind the subunit of the phosphatidylinositol 3-kinase (PI 3-kinase) complex. Activation of Akt1 by insulin or insulin-growth factor-1(IGF-1) results in phosphorylation of both Thr 308 and Ser 473. Akt proteins become phosphorylated and activated in insulin/IGF-1-stimulated cells by an upstream kinase(s), and the activation of Akt1 and Akt2 is inhibited by the PI kinase inhibitor wortmannin.
Applications
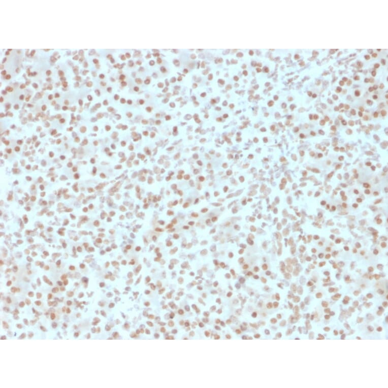
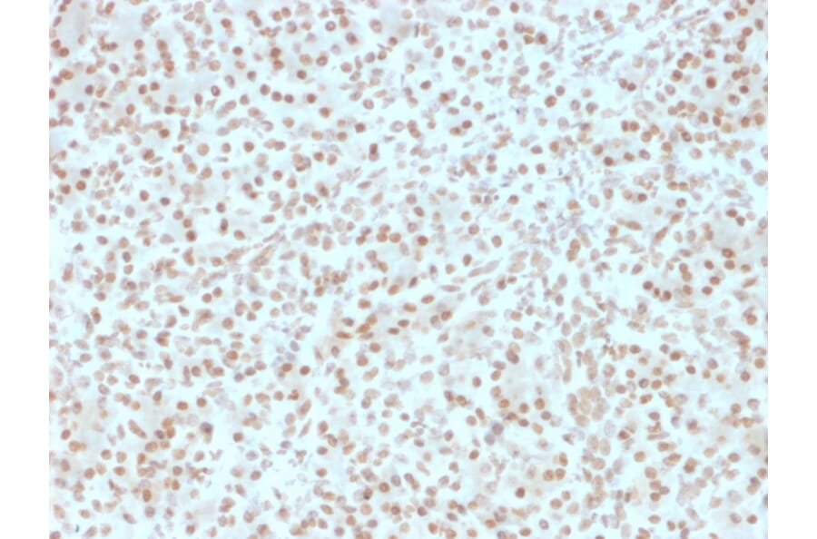
WB, IHC-P
Dilutions
WB: 1-2 µg/ml, IHC-P: 1-2 µg/ml
Reactivity
Human
Immunogen
Recombinant fragment, around amino acids 85-189, of human AKT1 protein. The exact sequence is proprietary.
Host
Mouse
Clonality
Monoclonal
Clone ID
AKT1/2491
Isotype
IgG2b
Light Chains
kappa
Conjugate
Unconjugated
Purification
Protein A/G chromatography.
Concentration
1 mg/ml
Molecular Weight
62 kDa
Product Form
Liquid
Formulation
Supplied in 10mM Phosphate Buffered Saline; without Sodium Azide and carrier free.
Storage
Shipped at 4°C. Upon delivery aliquot and store at -20°C. Avoid freeze / thaw cycles.
SDS-PAGE analysis of Anti-AKT1 Antibody [AKT1/2491] under non-reduced and reduced conditions; showing intact IgG and intact heavy and light chains, respectively. SDS-PAGE analysis confirms the integrity and purity of the antibody.
Anti-AKT1 Antibody [AKT1/2491] - BSA and Azide free (A251648)
Analysis of protein array containing more than 19,000 full-length human proteins using Anti-AKT1 Antibody [AKT1/2491]. Z-Score and S- Score: The Z-score represents the strength of a signal that a monoclonal antibody (MAb) (in combination with a fluorescently-tagged anti-IgG secondary antibody) produces when binding to a particular protein on the HuProtTM array. Z-scores are described in units of standard deviations (SD's) above the mean value of all signals generated on that array. If targets on HuProtTM are arranged in descending order of the Z-score, the S-score is the difference (also in units of SD's) between the Z-score. S-score therefore represents the relative target specificity of a MAb to its intended target; a MAb is considered to be specific to its intended target, if the MAb has an S-score of at least 2.5. For example, if a MAb binds to protein X with a Z-score of 43 and to protein Y with a Z-score of 14, then the S-score for the binding of that MAb to protein X is equal to 29.
Western Blot - Anti-AKT1 Antibody [AKT1/2491] - BSA and Azide free (A251648)
Western blot analysis of MCF-7 cell lysate using Anti-AKT1 Antibody [AKT1/2491].
Publishing research using Anti-AKT1 Antibody [AKT1/2491] - BSA and Azide free (A251648)? Please let us know so that we can list the citation on this page.
Alternative products to Anti-AKT1 Antibody [AKT1/2491] - BSA and Azide free (A251648)